当院は医療広告ガイドラインを遵守しています。
新着一覧

矯正症例109 AngleⅠ級上下顎前突、能代市、北秋田市、大館市、秋田市
初診時29歳女性、抜歯部位:上下顎左右4番、治療期間3年8か月、来院回数62回 、治療費総額1,238,000(税込み)向かって左が初診時、右が動的治療終了時の正貌写真です。治療前後で唇の形が大きく変...

激しいデコボコがある場合のインプラント治療(製作途中)能代市、北秋田市、秋田市、大館市
インプラントを希望しても、相談先の歯科医院からインプラントできない、と言われる患者さんがいます。できない理由を以下に4つ挙げます。ほとんどがこの4つの内のどれかの理由でできないと言われます。 ①骨が...

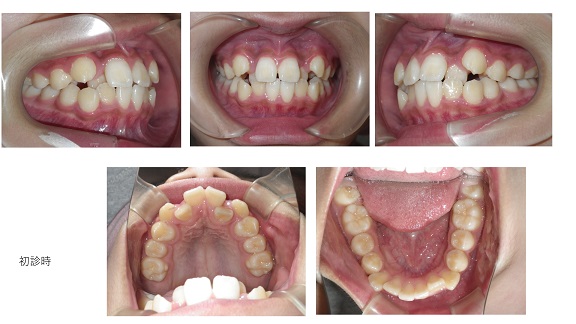
矯正症例108 AngleⅠ級叢生、能代市、北秋田市、大館市、秋田市
初診時36歳女性、初診時歯牙欠損部位:上顎左側6番、下顎左側6番、右側5番6番 抜歯部位:上顎左側5番、上顎右側5番6番、治療期間4年、来院回数46回、治療費総額124万円(税込み)上の写真は術前術後...

矯正症例107 AngleⅠ級叢生、下顎3本切歯症例、北秋田市、大館市、能代市、秋田市
初診時20歳3か月、治療期間3年3か月、抜歯部位:上顎左右4番、下顎左側2番、(下顎右側2番先天性欠如)治療費総額96万円(税込み)上の写真は左が術前、右が術後の写真です。治療後は術前と比較し口元が引...

矯正症例106 AngleⅠ級 叢生、秋田市、能代市、北秋田市、大館市
治療開始年齢28歳2か月、治療期間3年6か月、来院回数48回、抜歯部位上下顎左右4番、治療費用総額¥1,036,000歯を動かすことに於いては、特徴のない症例ですが、敢えて歯列矯正に於いての特徴を上げ...

矯正症例105 SkeletalclassⅢ、骨格性下顎前突、非抜歯、能代市、北秋田市、秋田市、
初診時12歳6か月、性別:女性、非抜歯症例、治療期間:3年4か月、来院回数:26回、治療費総額1,020,000(税込み)この症例は、症例104と同様に12歳で矯正を開始したので、抜歯せずに済んだ症例...

矯正症例104 AngleⅠ級、過蓋咬合、非抜歯矯正、能代市、北秋田市、秋田市、大館市
初診時12歳3か月、性別:男性、治療期間2年6か月、来院回数38回、治療費¥1,124,000(税込み)非抜歯矯正、 この患者さんは、下顎前歯が上の前歯に隠れて見えません。重度の過蓋咬合です。このまま...

矯正症例103舌側矯正 上下顎前突、裏側矯正、能代市、北秋田市、大館市、秋田市
初診時28歳8か月、性別:女性、抜歯部位:上下顎左右4番、治療期間:3年8か月、治療費総額:158万(税込み) この症例写真を見て、舌側矯正は表の矯正と比較して仕上がりに遜色ないことが分かります。舌側...

矯正症例102 AngleⅠ級叢生、秋田市、北秋田市、能代市,、大館市
性別男性:治療開始年齢17歳4か月、治療期間:20年4か月、抜歯部位:上顎左右4番下顎左右4番。治療費:98万円特に特徴のある症例でありません。患者の希望で早めに外した症例です。右下の7番のローテーシ...
最新記事
- 矯正症例143 AngleⅡ級2類
- 矯正症例142 AngleⅠ級、上顎前突
- 矯正症例141 AngleⅠ級 上下顎前突、ガミースマイル、口ごぼ
- 矯正症例 140 AngleⅠ級上下顎前突、舌側矯正,口ゴボ,裏側矯正
- 矯正症例139 AngleⅠ級叢生、下顎8番埋伏歯の牽引
カテゴリー
- 矯正症例(95)
- 矯正ブログ(22)
- 矯正(7)
- 歯列矯正のセカンドオピニオン症例(3)
- 矯正に役立つ話(9)
- デタラメ矯正(7)
- インプラント(48)
- インプラントのセカンドオピニオン症例(1)
- 審美歯科(15)
- 文献を読むシリーズ(1)
- 院長の戯言(7)
- 定期検診(4)
- 保険診療(3)
- ホワイトニング(4)
- 入れ歯(6)
- その他(3)
- レーザー(1)
- 虫歯治療(1)
- 未指定(39)
