当院の矯正歯科
よつじ歯科・インプラント矯正歯科クリニックでの歯列矯正が選ばれる理由
- ① 矯正歯科認定医が治療している。
- ② 矯正の種類が豊富
- ③ 急なトラブルにも迅速に対応
- ④ 歯列矯正をしつつ虫歯治療、親知らずの抜歯、インプラントと幅広く治療可能
- ⑤ 土曜日は終日診療、日曜日は午前診療を行っています。
- ⑥ 矯正専門の歯科医院の中には治療期間が長引く医院があります。
以下上記を解説
- 1. 院長はNPO法人日本ベッグ矯正歯科学会認定の矯正歯科認定医です。
- 2. マウスピース矯正、ワイヤー矯正、舌側矯正と幅広くやっています。
- 3. 矯正担当の歯科医師が限られた曜日に来院して治療する歯科医院があります。その医院で治療した場合何かトラブルがあった時は担当の歯科医が来院する日まで待たなければならない場合があります。
よつじ歯科・インプラント矯正歯科クリニックでは矯正歯科認定医が常駐しております。予約の状況にもよりますが、急なトラブルにも可及的に速やかに対応致します。 - 4. 矯正専門の歯科医院では矯正のみ治療し、他の治療を他院にお願いしている医院が多数あります。そこでは矯正治療中に虫歯が見つかったら、患者にわざわざ他院へ出向いてもらいそこで治療を済ませてから、矯正治療に戻ってきてもらうといったことが行われています。患者さんには他院で治療をして戻ってきてもらうといった手間と時間がかかります。
抜歯、インプラントに於いても同じです。
一方、よつじ歯科・インプラント矯正歯科クリニックでは院内で全てに対応しています。そうすることで患者さんの手間を減らし時間の節約をしています。 - 5. 当院では土曜日に終日診療を行っています。日曜は月に2日ですが午前診療を行っています。(詳しくはHPの診療カレンダーを確認)
医院によっては日曜診療では別料金を必要とする歯科医院もありますが、当院に於いては日曜日の矯正診療は通常の矯正料金で行っております。 - 6. 矯正治療に於いて来院間隔は2~4週が一般的です。ところが、大幅に来院間隔の開く医院が存在します。例えば矯正の相談を予約した場合、2、3か月後の予約となる矯正歯科医院があります。その医院で矯正治療を始めると来院間隔が長く空く危険性が大変高いものです。必要以上に来院間隔が空く場合は治療が遅れる危険があります。当院では適切な来院間隔を保てるように治療行程の適正化と来院患者数の調整を行っています。
治療方針の特徴
外科矯正を回避する方針
日本へ欧米から輸入された歯列矯正の診断法は白人の為のもので治療目標がギリシャ、ローマ時代の彫刻を理想としています。ですから、日本人の骨格では外科手術適応と診断される患者さんも大勢います。ところが、当院で用いる診断法は日本人が日本人の為に開発した診断法です。その診断法を用いると従来外科手術が必要と診断された患者さんでも外科矯正をせずに治療可能な場合が多くあります。実際のところ他院で外科手術が必要と言われた患者さんでも、当院で手術をせず矯正のみで治療を終えた方も多数いらっしゃいます。
当院の治療テクニックの特徴
当院の矯正治療法は、オーストラリアの矯正歯科医、アデレード大学歯学部教授Percy Raymond Begg(レイモンド・ベッグ)の人類学の研究から生まれました。
彼はその研究で、人間の歯と歯並びの変化と安定に関して結論を出しており、その結論に基づいた矯正治療を確立しました。その治療法は50年以上改良が続けられ、現在も進化している新しい治療法です。
その治療法には、以下の6つの特徴があります。
①生物学的に無理がなく、体にやさしい
矯正治療で問題となる歯根吸収、骨の破壊を起こす率がたいへん少ないです。歯根吸収とは、歯への装置の装着や、歯を動かすことにより、途中で歯根が皮質骨に触れて短くなることです。骨の破壊とは、歯を動かす途中で、歯を支える骨が破壊されることです。
一度短くなった歯根は再生しないので、これは望ましくない現象です。骨の破壊は部位によっては再生する可能性がありますが、再生しない部位もあります。そのため、歯根吸収と皮質骨の破壊は、歯列の術後の安定性、歯の寿命に大きく関わります。
日本は世界有数の長寿国です。だからこそ、「並べて終わり」ではなく、長寿が前提の矯正治療を考える必要があるのです。
②治療期間が短い、痛みが少ない
治療期間が短くなるのは、生理的な歯の移動を参考にした動かし方(節度ある傾斜移動)を行なうからです。
痛みが少ないのは、基本的に120g前後の弱い力で動かすからです。
③術後の安定性に優れている
術後の安定性が得られるのは、歯の安定に関与する要素(歯の形態、舌と口腔周囲筋の力学的バランス、癖、成長、年齢)を考慮したうえで、動的治療終了後の安定(後戻り防止)を得る治療計画を立てるからです。
また、術後の安定を考慮するうえで特筆すべき点は、当院の使用テクニック(KBテクニック)の優位性です。原理的には、ほかのテクニックに比べ動的治療終了時の歯牙の位置が、力学的に最も安定した位置にきます。
④ヘッドギア、アンカースクリューが必要ない / ⑤ブラケットの種類を問わない
ブラケットの種類を問わないので、ご希望のブラケットで矯正治療を受けられます。ブラケットの選択でお悩みの方には、その方にきちんと合うブラケットをご提案します。
ブラケットの特性を理解したうえで、原理的には3次元方向に自由に動かす使い方をします。そのためブラケットとワイヤーの摩擦が少なく、ヘッドギアやアンカースクリューは必要ありません。
⑥下顎前突の診断法と基本術式が確立している
ヨーロッパ、アメリカで開発された歯列矯正は、診断法や基本術式は上顎前突に対するもので骨格性下顎前突に関してはありません。
骨格性下顎前突の治療は原則顎切り(外科的矯正治療)です。
ところが1984年、世界で初めて亀田晃氏が骨格性下顎前突に関しての診断法と基本術式を発表していました。
その診断法を用いると、従来顎切り(外科的矯正治療)が必要とされた骨格性下顎前突の患者さんも、切らずに済むと診断されるものが多数あります。
日本で誕生したこの診断法と基本術式を用いているので、当院でも顎切り(外科的矯正治療)を免れた患者さんはたくさんおられます。

Percival Raymond Begg
Percival Raymond Begg 1898-1983
Angle最後の直弟子.Angle考案のEdgewisebracketを、最初に製造した人でもあります。
(出典 亀田晃著 ベッグ法の全てⅠ)
不正咬合のままだと…
歯並びが悪い方のなかには、「すきっ歯が恥ずかしい」「口もとが気になって笑うとき手で覆ってしまう」など、コンプレックスをおもちの方が多いのではないでしょうか。「子どものときからずっと悩んでいる」という方も珍しくありません。
しかし、不正咬合の問題は見た目だけにとどまらず、食べ物の咀嚼や発音が適切にできなかったり、細部まで歯を磨けないことで虫歯や歯周病にかかりやすくなったりする、という問題も引き起こします。また、噛み合わせの悪さにより全身のバランスが崩れ、頭痛、肩こり、腰痛などの不調を引き起こすこともあります。
このように、不正咬合を放置するとさまざまなデメリットを生み出します。症状にもよりますが、不正咬合の方は矯正治療をご検討されてもいいかもしれません。
矯正治療に対して、「装置が目立つ」など悪いイメージをおもちの方が多いかと思いますが、近年では装置が目立たない治療法が充実していますので、矯正治療をためらわれている方は、ぜひご相談ください。ご要望やご予算、ライフスタイルに合った装置をご提案します。
目立たない矯正治療
当院では、47種類のブラケットと32種類のワイヤーを揃えています。
そのなかから患者さんに合う組み合わせを選びます。おすすめはKBTブラケットです。
KBTジルコニアブラケット

KBTジルコニアブラケットは、従来のブラケットとは異なり、ワイヤーがブラケットに隠れるため、離れて見るとほとんど装着しているのがわからず、表側装置のなかでも目立たない部類となります。目立たないだけでなく、薄くて小さく違和感が少ないのも特徴です。
設計から製造まですべて日本国内で行なっており、現在のところ日本の技術でしか作れない優れた装置です。
マウスピース型装置を用いた矯正

マウスピース型装置を用いた矯正は、「アライナー」という透明のマウスピースを使用する方法です。
アラインテクノロジー社製のもの、アソインターナショナル社製のものなどさまざまな種類がありますが、原理的にはどれも同じです。約2週間で新しいアライナーに交換しながら、1日20時間以上装着して歯を徐々に移動させます。
ほかの治療法とは異なり、装置が取り外し式で、ブラケットやワイヤーも装着しないので目立ちません。
舌側矯正(裏側矯正)

舌側矯正なら、人に知られず歯列矯正ができます。
表に装置を張ることに抵抗のある方、多数の人に接する職業に就いている方、人の出入りの激しい職場にお勤めの方にお勧めです。
表の装置で矯正すると、装置が人目に触れるので、多くの人に質問されます。『いつからやっているの?』『どこでやっているの?』『いつまでやるの?』『いくらかかったの?』『痛くない?』と訊かれます。
多数の人に接する仕事に就労していると、多数の人に上と同じ内容の質問を浴びせられます。他人が気になって仕方のない人は大勢います。ですから必ず訊かれます。
そして毎回同じ返答をします。これが、休日以外ほぼ毎日、矯正が終わるまでの数年続きます。このストレスや煩わしさに耐えられるでしょうか?
そこで、耐える自信のない方へお勧めするのが、舌側矯正です。
舌側矯正をすると、表の矯正をすることで受ける、ストレス煩わしさから解放されます。
舌側矯正を終えた患者さんからは、『ストレスがなくて良かった』との感想を数多く頂いています。
部分矯正

「前歯のデコボコが気になるけれど、矯正治療は期間が長く費用も高い…」「気になるのは前歯だけだし、簡単で早く、低価格で治療できたらいいのに…」とお悩みの方には、部分矯正がおすすめです。
本来、矯正治療は、歯の大きさと形、口腔周囲筋、舌の運動と歯並びの調和を確立するため、年単位の治療期間がかかってしまいますが、部分矯正は前歯だけを矯正できるので、通常の矯正治療に比べて短期間・低価格で終えられます。
アンカースクリュー矯正

MIA(micro implant anchor)と呼ばれる小さなアンカースクリューを歯肉に埋め込み、それを固定源とする治療法です。煩わしいヘッドギアを使わないので、快適に治療を進められ、治療期間を短縮することもできます。
そのほか、以下のようなメリットもあります。
1. 抜歯の可能性が下がります。
2. 外科矯正の可能性が下がります。
3. 従来不可能とされていた歯の移動が可能になります。
アンカースクリューを埋入するときに必要な麻酔はごくわずかで、時間は1本30~60秒です。麻酔が切れても痛みや腫れはほとんどありません。また、アンカースクリューを撤去するときは、麻酔が必要ありません。
矯正装置の種類

セラミックエッジワイズ
ブラケット
ワイヤーが多少目立ちますが、ブラケットは半透明なので目立ちません。装着時の違和感が多少あります。

エッジワイズブラケット
上がセラミック製、下が金属製のブラケットです。セラミック製のものを使うと治療期間が長引きます。

舌側矯正:フジタメソッド(※)
のブラケット
治療に時間がかかります。個人差がありますが、装着時の違和感があまりありません。※装置が見えにくい、虫歯になりにくい、審美的・衛生的矯正治療を行なうために、歯列内側の口蓋側、舌側からの矯正力によって歯を3次元的総合的に移動して不正咬合を治療する方法です。1978年にメソッド、システム、症例が学術誌に発表されています。

ベッグブラケット
上がセラミック製で、下が金属製です。動きの速いベッグブラケットでもセラミック製になると動きは遅くなります。

ベッグブラケット(金属製)
上下金属製のブラケットは目立つので、敬遠されがちです。
NG矯正にご注意

近年、全国の矯正歯科医院に、「治療を始めたけれど、最初の説明と違う」「治療結果がおかしい」など他院で受けた床矯正に関する相談が寄せられているようです。当院にも、お子さまの床矯正をされているご両親から、やはり同様のご相談が寄せられます。
聞けば、小学生から治療を始め、「乳歯が抜けて永久歯が出てきたら装置を換える」といわれ、「値段が5~7万円の装置をいくつか換えるけれど、通常の矯正治療より安く済む」と説明されていたのに、実際は「予想の費用を上回った」ということが多いようです。
次に多いのは、「治療結果がおかしいけれど、これで終わり…? 」というものです。当院に寄せられる相談をまとめると、床矯正を行なった医院では、開始前に以下の説明を受けているとのことです。
- ① 床矯正は歯を抜かずに矯正できる
- ② 治療費が安く済む
- ③ 取り外しができる装置で楽である
- ④ どのような年齢でもできる
- ⑤ 気になるところだけ治すことができる
- ⑥ 以上の理由から、床矯正をお子さんのうちから始めると、治療が安く楽に済む
これがすべて本当なら、床矯正には良いことしかありません。しかし実際は③と⑤が多少該当する程度で、①②④⑥は外れています。矯正歯科医は、床矯正の説明で①②④⑥は決してお伝えしません。 また、多くの矯正歯科医は、床矯正で治せる症例は10%前後であるとの見方をしていますが、院長も同じ意見です。
床矯正に関する矯正歯科医の意見
マウスピース矯正の適応症かどうかの判断について
インビザラインを不適応な症例に用いることで、奥歯が噛まない、仕上がりが変である、出っ歯で終わった、等の相談が矯正歯科学会、消費者相談に寄せられています。
そこで、インビザライン(マウスピース矯正、アライナー矯正)を検討されている方は、是非当院へご相談ください。マウスピース矯正可能な症例であるか、診断致します。相談料、診断料は無料です。
お問い合わせはこちらから
インビザライン(マウスピース矯正、アライナー矯正)に注意
ネットでインビザライン(マウスピース矯正、アライナー矯正)の広告を頻繁に見かけるようになりました。
また、歯科医院のHPを診ると大々的にインビザラインを宣伝しているところが増えています。
ここでは、皆さんが気になるインビザラインに関して解説します。
インビザの注意点として以下の8点があります。
- 1. 抜歯の矯正ができない
- 2. 歯に何もつけないわけではない。
- 3. 歯と歯の間を少し削る。
- 4. 奥歯が噛まなくなり易い
- 5. 1度ずれたら元に戻せない
- 6. 長時間必用
- 7. ワイヤー矯正より長期間
- 8. 治療中に虫歯の治療になった場合アライナーの残り全てを新しく作り直す必要がある場合がある。
1〜8について解説します。
- 1. 抜歯の矯正ができない。
- 全くできないわけではありませんが、現時点では殆ど不可能です。例外的にできるものがありますが、矯正の仕上がりとしてはギリギリ合格点の仕上がりになります。
- 2. 歯に何もつけないわけではない。
- マウスピースだけの矯正では動かせる範囲に限りがあるので、歯にアタッチメントという突起物を付けてマウスピース単独の力にアタッチメントで力をプラスします。
- 3. 歯と歯の間を少し削る。
- ストリッピング、スレンダリング,IPRなどと呼ばれるもので、エナメル質を少し削りすきまを作りそこにめがけて歯を動かしていきます。
- このIPRは、原理的にはエナメル質の半分なら削っても問題ないと言われています。この半分で問題ないとは何を根拠にしているか疑問ですが、まあ、経験的に問題ないということなのだと思います。
このIPRが曲者で、エナメル質の半分と言っても日本人の歯はエナメル質が薄い人が多いので、IPRで作れる隙間の少ない人がいます。従って凸凹を治しても、出っ歯で終わることがあります。
- 4. 奥歯が噛まなくなり易い
- 奥歯が噛まなくなり易いのはインビザの特徴でこれを治すにはワイヤーでの矯正が必要になります。大臼歯を動かすには大きな力が必要で更に力の自由度が大切になります。アライナーの力では弱いのです。
- 5. 一度ずれたら元に戻せない。
- 1歯のずれなら対応できますが、数本ずれたら新たにアライナーを制作しますので費用が高くつきます。製作までの時間がかかります。
- 6. 長時間装着が必要。
- 1日22時間以上の装着が必要ですから、ずぼらな人や忘れっぽい方にはインビザは不可能です。
- 7. ワイヤー矯正より長期間
- ワイヤー矯正より長時間必用なのは、これまでの説明から明白となります。つまり、ワイヤーより弱い力で動かすので動きが遅い。長時間装着の必用があれば、装着を装着し忘れた場合の戻りがある。ずれたら装置の作り直しに時間がかかる。以上からワイヤー矯正より治療期間が長いことは明らかです。
インビザの公式サイトにはインビザの利点として以下を挙げてあります。
- 1. 気づかれない
- 2. 違和感が少ない
- 3. 幅広い症例に対応
- 4. より健康的
- 5. 通院回数を減らせる
- 6. チェアータイムが少ない
以上の項目に関して私の意見を述べます。
- 1、6は当たっていると思いますが。2〜5は違うと思います。
- 2. 違和感が少ない。
- ワイヤー矯正でもワイヤーを替えたばかりの時は歯に鈍い痛みがあります。力がかかるからです。アライナーも同じで歯を動かそうとして力を加えますから。痛い筈です。
- 3. 幅広い症例に対応
- これは違います。私たち臨床医(真面目に矯正治療を行っている先生方)はワイヤー矯正でも動きの遅い症例に遭遇します。アライナーのような弱い力で動かせるはずがありません。
- 4. より健康的
- これも違います。歯磨きしやすいから歯磨きするとプラークの残りが少ないから、虫歯歯周病になりにくいと言いたいのでしょうがほんとうでしょうか?
- 歯の健康には唾液による再石灰化が必要です。歯茎の健康は唾液による湿潤と唾液中の抗体が必要です。
- アライナーで歯をすっぽり覆われたら唾液が遮られますから再石灰化を遅らします。唾液の循環が遮られますからは歯茎の上にアライナーが乗れば歯茎(特に隣接面直下の歯茎)に良いものではありません。
- 5. 根拠がありません。
- 以上より、インビザライン(アライナー矯正、マウスピース矯正)は現時点では治せる症例が非常に限られていることが分かります。
- ところが、インビザラインでの治療が不可能な症例にインビザラインを勧めている歯科医がいます。インビザラインを勧められた方は矯正専門の医院に相談に行かれることをお勧めします。
- ネットではインビザライン矯正の広告をたくさん見ます。これは口腔内スキャナーを販売している業者と、技工所、コンサルタントが結託してインビザの需要を作り出そうとしているからです。インビザの需要があることで歯科医師に口腔内スキャナーを買わせて技工所とコンサルが儲けようとしているのです。患者の皆さん注意ですよ。歯科医師が主導の治療ではなく業者主導の治療法になっています。治療法としてのエビデンスが無いのに広告を出しています。
- 日本矯正歯科学会も同様の見解です。
詳しく知りたい方は日本矯正歯科学会のホームページ
マウスピース矯正の闇
中高年の矯正

歯列矯正は子供がやるイメージの強い方が多いと思います。しかし実際はいくつになっても歯列矯正は可能です。最近では全国的に40歳台~60歳台で歯列矯正を始める方が増えています。
当院でも40歳以上の方の歯列矯正が増えています。
多くの方が若い頃には軽症で気にならない程度だった歯列不正が加齢とともに進行し40歳以上になると重症化して、当院へ相談に来きます。
中高年に限らず、どの年齢層でも見た目の改善が歯列矯正開始の一番多い理由です。
そしてどの年齢層の方にも共通する歯列矯正のメリットを挙げると以下のようになります。
・綺麗に整った歯並びならば自分に自信が持てる。
・人目を気にせず歯を見せて笑える。
・虫歯の予防と歯周病の予防に効果がある。
以上のように見た目の改善だけでなく精神面に大きく有益です。更に、歯周病の予防が成人病の予防になりますから、歯列矯正は全身の健康維持、増進に大いに貢献します。歯の寿命も伸ばします。
中高年で歯列矯正をした方は、更に年齢を重ねた時、同年代より健康で沢山の歯が残っていれば自分は若い、という自信に繋がります。
成人矯正

矯正治療は見た目を美しくするだけでなく、しっかり噛めるよう歯の機能面も改善できます。また、歯並びが良くなれば歯磨きがしやすくなり、虫歯や歯周病の予防にもつながります。
当院では、お仕事の都合などで治療が中途半端で終わることのないよう、カウンセリングをしっかりと行ない、無理のない治療計画を立てています。また、装置は47種類のブラケットと32種類のワイヤーを取り揃えていますので、そのなかから患者さんに適した組み合わせをお選びします。ぜひ当院までご相談ください。
治療後の後戻りについて(やり直しの歯列矯正)

矯正治療には、さまざまな装置や治療法があります。そのなかで、治療中の快適さや利便性を中心に治療法を選択し、歯列をきれいに並べるという結果だけを最終目標として長期的に治療を受けるのでは、将来的に不充分な治療結果となってしまいます。
当院では、一つひとつの歯の位置が力学的に最も安定した位置にくるテクニックを駆使して治療を行なうことを基本とし、患者さんの骨格や歯列、口もとのバランスや癖、年齢などを考慮し、「長期の歯の安定性」を重視したうえで治療を行なっています。
矯正治療は、どのような治療法であっても、装置を外した時点で治療が完了するわけではありません。移動した歯は、さまざまな要因で元の位置に戻ろうとするので、リテーナー(保定用装置)をお使いいただい、装置を外した後も慎重に経過観察を行なっていきます。
矯正治療は長期にわたるうえ、決して低価格ではありません。当院では、患者さんの将来を見据えた、納得のいく治療を行なっていますので、ぜひご相談ください。
やり直しの歯列矯正
当院では『やり直しの矯正』を承っております。
以前矯正をしたが、その治療結果がおかしい。矯正を終えて数年しておかしな歯並びになった。等で、お困りの方へ。
当院では他院で一度矯正した方のやり直し歯列矯正をしております。
おかしくなった原因を探り、原因対策を立てたうえでの治療計画を立てますから、術後安定性が格段に向上します。原則的に以前の治療目標、治療術式とは違ったものとなります。
一度歯列矯正をしておかしくなった場合、自分は矯正しても治らないと思う方がいます。が、そんなことはありません。術者が診断を誤っている場合が多々ありますから、一度当院へ相談されるのが良いでしょう。
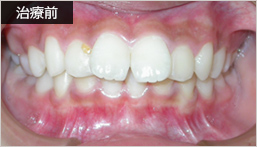
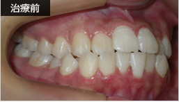
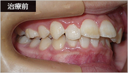
矯正歯科の症例集
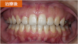
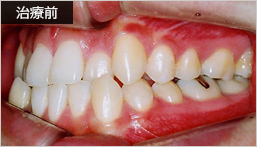
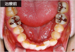
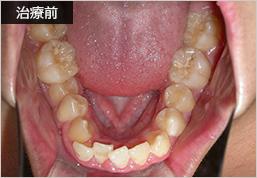
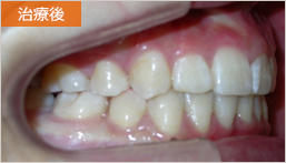
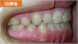
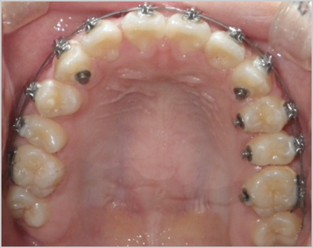
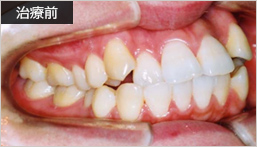
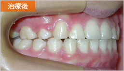
症例1 診断名:Angle ClassⅠ 叢生 抜歯部位:上下左右第一小臼歯 マルチブラケット法による矯正(ベッグブラケット使用)




- 性別男性
- 年齢16歳
- 治療回数26回
- 治療期間2年1か月
- 治療費(リテーナー代金込み)¥760,000(税別)
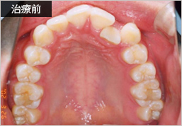
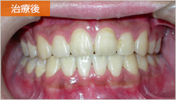
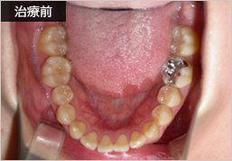
症例2 Angle Class Ⅰ 叢生 抜歯部位:上顎左右4番下顎左右4番 マルチブラケット法による歯列矯正(ベッグブラケット使用)






- 性別女性
- 年齢17歳
- 治療回数30回
- 治療期間2年2か月
- 治療費(リテーナー代金込み)¥710,000(税別)
症例3 Skeletal ClassⅢ。抜歯部位:下顎左右5番。マルチブラケット法使用(ベッグブラケット使用)、チンキャップ併用。




- 性別女性
- 年齢33歳
- 治療回数50回
- 治療期間4年2か月
- 治療費(リテーナー代金込み)¥880,000(税別)
症例4 診断名:Angle 1級 上顎前突 抜歯部位:上下左右4番 マルチブラケット法による歯列矯正(ベッグブラケット使用)








- 性別男性
- 年齢10歳
- 治療回数20回
- 治療期間2年2か月
- 治療費(リテーナー代金込み)¥760,000(税別)
症例5 診断名:Angle 1級 開口 抜歯部位:上下左右4番 マルチブラケット法による歯列矯正(ベッグブラケット使用)


- 性別女性
- 年齢17歳
- 治療回数26回
- 治療期間2年1か月
- 治療費(リテーナー代金込み)¥670,000(税別)
症例6 Skeletal classⅢ 非抜歯 マルチブラケット法による歯列矯正(ベッグブラケット使用)






- 性別女性
- 年齢15歳
- 治療回数20回
- 治療期間1年6か月
- 治療費(リテーナー代金込み)¥640,000(税別)
症例7 空隙歯列 非抜歯 マルチブラケット法による歯列矯正(ベッグブラケット使用)








- 性別女性
- 年齢18歳
- 治療回数18回
- 治療期間1年8か月
- 治療費(リテーナー代金込み)¥650,000(税別)
症例8 Angle class Ⅰ 開口 非抜歯 マルチブラケット法による歯列矯正(ベッグブラケット使用)








- 性別男性
- 年齢17歳
- 治療回数28回
- 治療期間2年4か月
- 治療費(リテーナー代金込み)¥760,000(税別)
症例9 診断名:Skeletal class Ⅲ 非抜歯 マルチブラケット法による歯列矯正(ベッグブラケット使用)、チンキャップ併用








- 性別女性
- 年齢15歳
- 治療回数52回
- 治療期間4年
- 治療費(リテーナー代金込み)¥760,000(税別)
症例10 診断名:Angle class Ⅰ 開口 抜歯部位:右上6番左上5番、下顎左右4番。マルチブラケット法による歯列矯正(ベッグブラケット使用)チンキャップ併用








- 性別女性
- 年齢41歳
- 治療回数32回
- 治療期間2年4か月
- 治療費(リテーナー代金込み)¥720,000(税別)
症例11 上下顎前突。抜歯部位:上下左右6番。マルチブラケット法による歯列矯正(ベッグブラケット使用)










- 性別女性
- 年齢31歳
- 治療回数30回
- 治療期間2年3か月
- 治療費(リテーナー代金込み)¥760,000(税別)
症例12 診断名:骨格性Ⅲ級。抜歯部位:上顎左右8番、下顎左右6番。マルチブラケット法による歯列矯正(ベッグブラケット使用)、チンキャップ併用。










- 性別女性
- 年齢25歳
- 治療回数25回
- 治療期間2年8か月
- 治療費(リテーナー代金込み)¥720,000(税別)
症例13 診断名:Angle classⅢ,div2。抜歯部位:上顎左右4番、下顎左右5番。マルチブラケット法による歯列矯正(KBTマルチブラケットシステム使用)










- 性別女性
- 年齢18歳
- 治療回数36回
- 治療期間2年6か月
- 治療費(リテーナー代金込み)¥750,000(税別)
上顎右側側切歯の歯肉が裂開しているのはこれは仕方がありません。術前に大きく口蓋側転位しているからです。
治療期間が長引いたのは患者の希望する歯並びにするために細かい調整が必要だったのと、歯牙の形態が個性的で何とか折り合いをつけるに時間が必要だったからです。
叢生が激しい場合、歯牙の形態が標準より大きくずれるという法則がこの症例にも当てはまりました。歯牙形態と骨格を超えた矯正は不可能であることが再確認できました。
症例14 診断名:Angle classⅠ 叢生。抜歯部位:上顎左右4番、下顎左右5番。マルチブラケットシステムによる歯列矯正(KBTマルチブラケットシステム使用)










- 性別女性
- 年齢25歳
- 治療回数41回
- 治療期間2年11か月
- 治療費(リテーナー代金込み)¥750,000(税別)
症例15 診断名:Angle classⅢ 叢生。抜歯部位:上下左右5番。マルチブラケット法による歯列矯正(KBTマルチブラケットシステム使用)










- 性別女性
- 年齢38歳
- 治療回数48回
- 治療期間3年6か月
- 治療費(リテーナー代金込み)¥820,000(税別)
下顎の抜歯空隙が閉じてのちに上顎の抜歯も必要と分かり上顎左右第二小臼歯抜歯となりました。
症例16 診断名:Angle 1級 上下顎前突。抜歯部位:上下左右4番。マルチブラケット法による歯列矯正(エッジワイズブラケット使用)












- 性別女性
- 年齢21歳
- 治療回数33回
- 治療期間2年3か月
- 治療費(リテーナー代金込み)¥735,000(税別)
大手美容クリニックに歯科が併設されているのはこの症例でお分かりいただけると思います。
喜んでもらってよかったです。
症例17 診断名:Angle classⅡ,div1。抜歯部位:上顎左右4番、下顎左右5番。マルチブラケット法による歯列矯正(ベッグブラケット使用)












- 性別女性
- 初診時11歳5か月
- 治療回数47回
- 治療期間3年2か月
- 治療費(リテーナー代金込み)¥720,000(税別)
症例18 診断名:Angle classⅡ,div1。抜歯部位:上顎左右4番、下顎左右5番。マルチブラケット法による歯列矯正(ベッグブラケット使用)












- 性別男性
- 初診時11歳8か月
- 治療回数35回
- 治療期間2年3か月
- 治療費(リテーナー代金込み)¥720,000(税別)
症例19 診断名:Angle classⅠ 上下顎前突。抜歯部位:上下顎左右4番。マルチブラケット法による歯列矯正(KBTマルチブラケットシステム使用)












- 性別女性
- 初診時23歳
- 治療回数37回
- 治療期間2年8か月
- 治療費(リテーナー代金込み)¥735,000(税別)
矯正治療中から素敵な男性に声をかけらるようになったそうです。
この患者さんに限らず、矯正治療を受けて、素敵な異性に出会う機会が増えたという話をよく聞きます。
症例20 診断名:Angle classⅠ 上下顎前突。抜歯部位:上下顎左右5番。マルチブラケット法による歯列矯正(ベッグブラケット使用)












- 性別女性
- 初診時28歳
- 治療回数28回
- 治療期間2年2か月
- 治療費(リテーナー代金込み)¥730,000(税別)
症例21 診断名:骨格性下顎前突。抜歯部位:下顎左右4番。マルチブラケット法による歯列矯正(ベッグブラケット使用)












- 性別男性
- 初診時16歳2か月
- 治療回数35回
- 治療期間2年6か月
- 治療費(リテーナー代金込み)¥720,000(税別)
症例22 診断名:Angle classⅠ 叢生 過蓋咬合。抜歯部位:上顎左右4番、下顎左右5番。マルチブラケット法による歯列矯正(ベッグブラケット使用)












- 性別男性
- 初診時13歳
- 治療回数25回
- 治療期間1年8か月
- 治療費(リテーナー代金込み)¥700,000(税別)
この患者さんのように治した方が良いです。
症例23 診断名:Angle classⅠ 叢生。抜歯部位:上顎左右4番、下顎左側5番。下顎右側5番は先天性欠如。マルチブラケット法による歯列矯正(ベッグブラケット使用)












- 性別女性
- 初診時15歳
- 治療回数29回
- 治療期間2年3か月
- 治療費(リテーナー代金込み)¥720,000(税別)
症例24 診断名:Angle classⅡ 叢生。抜歯部位:上顎左右4番、下顎左右5番。マルチブラケット法による歯列矯正(KBTマルチブラケットシステム使用)










- 性別男性
- 初診時12歳8か月
- 治療回数25回
- 治療期間1年8か月
- 治療費(リテーナー代金込み)¥720,000(税別)
症例25 診断名:Angle classⅡ div1。抜歯部位:上顎左右4番 下顎は非抜歯。マルチブラケット法による歯列矯正(ベッグブラケット使用)












- 性別女性
- 初診時22歳
- 治療回数27回
- 治療期間2年3か月
- 治療費(リテーナー代金込み)¥720,000(税別)
症例26 診断名:Angle classⅡ 叢生。抜歯部位:上顎左右4番、下顎左右側5番。マルチブラケットシステム使用による歯列矯正(ベッグブラケット使用)












- 性別女性
- 初診時25歳
- 治療回数31回
- 治療期間2年3か月
- 治療費(リテーナー代金込み)¥720,000(税別)
初診時の写真で上顎の歯肉の裂開、歯根の露出が目立ちます。それは上顎の歯槽突起の非常に薄いからです。日本人においては歯槽突起が薄い傾向にありますが、ここまで薄い方は珍しいと思います。CTで歯槽骨の状態を確認すると、dehiscenceとfenestrationが確認できる筈です。このような症例は保定が重要で、舌側のsplintがどうしても必要になります。
症例27 Angle classⅠ叢生。抜歯部位:上下顎左右4番。マルチブラケット法による歯列矯正(ベッグブラケット使用)












- 性別女性
- 初診時16歳
- 治療回数28回
- 治療期間1年11か月
- 治療費(リテーナー代金込み)¥720,000(税別)
症例28 Angle classⅠ叢生。抜歯部位:上顎左右4番、下顎左右側5番。マルチブラケット法による歯列矯正(ベッグブラケット使用)












- 性別女性
- 初診時28歳
- 治療回数37回
- 治療期間2年7か月
- 治療費(リテーナー代金込み)¥755,000(税別)
症例29 診断名:Angle classⅠ反対咬合。抜歯部位:非抜歯。マルチブラケット法による歯列矯正(ベッグブラケット使用)












- 性別男性
- 初診時12歳
- 治療回数22回
- 治療期間1年4か月
- 治療費(リテーナー代金込み)¥680,000(税別)
症例30 診断名:Angle classⅢ 叢生。抜歯部位:上顎左右4番、下顎左右犬歯は先天性欠如。マルチブラケット法による歯列矯正(ベッグブラケット使用)










- 性別女性
- 初診時24歳
- 治療回数37回
- 治療期間2年9か月
- 治療費(リテーナー代金込み)¥7450,000(税別)
症例31 診断名:上顎右側第二小臼歯の埋伏歯。抜歯部位:上顎右側第二乳臼歯。マルチブラケット法による歯列矯正(ベッグブラケット使用)
開始時の口腔内写真

開始時のパノラマx線写真

治療途中の口腔内写真

治療途中のパノラマx線写真

終了時の口腔内写真

終了時のパノラマx線写真

- 性別女性
- 初診時15歳
- 治療回数20回
- 治療期間1年2か月
- 治療費(リテーナー代金込み)¥670,000(税別)
症例32 Angle classⅠ叢生、過蓋咬合。抜歯部位:上下顎左右4番。マルチブラケット法による歯列矯正(ベッグブラケット使用)










- 性別男性
- 初診時13歳
- 治療回数31回
- 治療期間2年3か月
- 治療費(リテーナー代金込み)¥745,000(税別)
症例33 Angle classⅠ上下顎前突。抜歯部位:上下顎左右4番。使用装置:マルチブラケット法による歯列矯正(ベッグブラケット使用)












- 性別女性
- 初診時25歳
- 治療回数35回
- 治療期間2年5か月
- 治療費(リテーナー代金込み)¥745,000(税別)
症例34 Angle classⅢ 叢生。抜歯部位:上顎左右4番、下顎左右5番。使用装置:マルチブラケット法による歯列矯正(ベッグブラケット使用)










- 性別女性
- 初診時33歳
- 治療回数39回
- 治療期間2年8か月
- 治療費(リテーナー代金込み)¥715,000(税別)
症例35 Angle classⅠ叢生。抜歯部位:上下顎左右4番。マルチブラケット法による歯列矯正(ベッグブラケット使用)










- 性別女性
- 初診時15歳3か月
- 治療回数23回
- 治療期間1年7か月
- 治療費(リテーナー代金込み)¥645,000(税別)
症例36 Angle classⅠ叢生。抜歯部位:上下顎左右4番。マルチブラケット法による歯列矯正(ベッグブラケット使用)










- 性別男性
- 初診時14歳4か月
- 治療回数26回
- 治療期間1年11か月
- 治療費(リテーナー代金込み)¥715,000(税別)
この患者さんの上顎中切歯の捻転は東洋人では大変珍しいものです。東洋人では翼状捻転(winging)が普通です。歯列弓も細長く尖ったものです。患者の頭蓋骨は長頭系でした。顔かたちも鼻が高く日本人離れしたものでした。おそらく白人の血統がある筈です。
症例37 Angle classⅠ叢生。抜歯部位:上下顎左右4番。マルチブラケット法による歯列矯正(ベッグブラケット使用)










- 初診時12歳5か月
- 治療回数27回
- 治療期間1年8か月
- 治療費(リテーナー代金込み)¥700,000(税別)
症例38 Angle classⅡ div1。抜歯部位:上下顎左右4番。マルチブラケット法による歯列矯正(ベッグブラケット使用)












- 初診時13歳4か月
- 治療回数25回
- 治療期間1年6か月
- 治療費(リテーナー代金込み)¥690,000(税別)
患者の希望で下顎8番は抜歯せず終了しました。
下顎8番が7番を押して7番がうまく並びません。そのような場合8番を放置しておくと叢生が悪化し6番から前方の歯までデコボコが生じることがあります。ですから8番の抜歯が必要になります。
下顎8番を抜かず、下顎7番を抜歯して8番の萌出を待つ手がありますが、その場合、噛む相手をなくした上顎7番が下りてきて、8番がうまく並ばなくなります。ですから上顎7番が下りてこないようにする対策が必要になります。
症例39 Angle classⅠ叢生。抜歯部位:上下顎左右4番。マルチブラケット法による歯列矯正(KBTマルチブラケットシステム使用)










- 初診時13歳8か月
- 治療回数37回
- 治療期間2年6か月
- 治療費(リテーナー代金込み)¥740,000(税別)
先に述べたように骨格的問題がない単なるデコボコの症例は11~12歳開始が最適な開始時期です。ところがそのような症例を7、8歳で開始し5~6年治療期間を要する先生方が存在します。それは誤った治療法です。7~8歳で開始し治療期間中に抜歯することになったら結果的に11~12歳で抜歯して並べるのと同じ結果です。早く開始することで徒に時間を無駄にしているだけです。
骨格的問題がない単なるデコボコの症例では抜歯せず並べられるのは高く見積もっても全体の2割程度です。ですから、7、8歳で開始し非抜歯で5~6年治療期間を要して、その後再発(後戻り)しなかったらそれは運が良かったということです。高確率で再発します。何故なら叢生だけの症例は非抜歯拡大で成長発育を促すことはできないからです。
症例40 Angle classⅢ叢生。抜歯部位:上下顎左右5番。マルチブラケット法による歯列矯正(KBTマルチブラケットシステム使用)。歯列矯正用アンカースクリュー併用










- 初診時39歳
- 治療回数58回
- 治療期間3年6か月
- 治療費(リテーナー代金込み)¥810,000(税別)
上顎6番の近心移動は他にfacial maskを使用する方法がありますが、ヘッドギアを含め顎外装置は忙しい現代人には使用が難しいと思います。
MIA(micro implant anchorage)は矯正治療における大きな技術革新です。MIAはもともとは韓国の先生が考えたもので、外科矯正に使用する骨を固定するスクリューをanchorとして口腔内に使用したのが始まりです。これを用いることで治療期間の短縮、従来不可能なことが可能になりました。当院でもこれからはMIAを用いた症例が増えていきます。
症例41 Angle classⅠ叢生。抜歯部位:上下顎左右5番。マルチブラケット法による歯列矯正(ベッグブラケット使用)










- 初診時13歳
- 治療回数27回
- 治療期間1年10カ月
- 治療費(リテーナー代金込み)¥720,000(税別)
症例42 Angle classⅠ叢生。抜歯部位:上下顎左右5番。マルチブラケット法による歯列矯正(KBTマルチブラケットシステム使用)










- 初診時29歳2か月 でこぼこの前歯を治したいと来院
- 治療回数41回
- 治療期間3年2か月
- 治療費(リテーナー代金込み)¥730,000(税別)
症例43 Angle classⅠ叢生。抜歯部位:上下顎左右4番。マルチブラケット法による歯列矯正(ベッグブラケット使用)










- 初診時25歳3か月 凸凹を治したいと来院
- 治療回数33回
- 治療期間2年5か月
- 治療費(リテーナー代金込み)¥705,000(税別)
矯正は何歳でも開始できます。しかしこの症例の様に年齢が進むにつれて、いろいろな制約が入ってきます。凸凹の修正は10歳台前半がお勧めです。
症例44 Angle classⅠ叢生。抜歯部位:上下顎左右4番。マルチブラケット法による歯列矯正(KBTマルチブラケットシステム使用)












- 初診時21歳 デコボコを治したい
- 治療回数39回
- 治療期間2年8か月
- 治療費(リテーナー代金込み)¥750,000(税別)
KBTマルチブラケットシステムを使用しました。治療期間が長引いたのは細かな調整に時間がかかったからです。
症例45 Angle classⅠ上顎前突、叢生。抜歯部位:上顎左右4番、下顎左右5番。マルチブラケット法による歯列矯正(KBTマルチブラケットシステム使用)歯列矯正用アンカースクリュー併用












- 初診時23歳 出っ歯を治したい、顎関節症を治したい、顎の外れるのを治したい
- 治療回数43回
- 治療期間3年
- 治療費(リテーナー代金込み)¥750,000(税別)
下顎右側第一大臼歯前方移動に歯列矯正用アンカースクリューを使用。
歯列矯正することで顎関節症の症状は無くなり、顎の外れることがなくなりました。
治療期間が3年と長引いたのは来院できない期間が半年ほどあり、その期間にゴムの使用を怠りせっかく閉じかけた下顎右側抜歯空隙が開きそこに骨ができたからです。
この症例の様に歯列矯正用アンカースクリューを用いることで治療期間の短縮が可能になりました。
治療前後の横顔の写真を比較してください。上顎前突は歯列矯正で横顔が美しくなることが解ります。
症例46 Angle classⅢ 下顎前突、叢生。抜歯部位:上顎左右5番、下顎右側5番、左側4番。マルチブラケット法による歯列矯正(KBTマルチブラケットシステム使用)










- 初診時15歳女性 凸凹を治したい、顎のずれを治したい
- 治療回数27回
- 治療期間1年8ヶ月
- 治療費(リテーナー代金込み)¥762,000(税別)
そのような場合上下で正中が合わないのは仕方のないことです。顎がずれているのは初診の写真を見るとわかります。
右下2、3、4番が交差咬合なのが原因です。もっと早く矯正治療を開始していれば顎の変形を防げたはずです。
症例47 Angle classⅡ上顎前突。抜歯部位:上顎左右4番、下顎左右5番。マルチブラケット法による歯列矯正(KBTマルチブラケットシステム使用)歯列矯正用アンカースクリュー併用










- 初診時11歳8か月男性 主訴出っ歯を治したい
- 治療回数39回
- 治療期間2年8か月
- 治療費(リテーナー代金込み)¥762,000(税別)
治療期間が2年8か月と少し長引きましたが、これは上顎左側6番がアンカーロスしたのでその歯を遠心移動するのに期間を要したからです。
アンカーロスした左上6番を遠心移動するのに歯列矯正用アンカースクリューを用いました。
症例48 Angle classⅠ上顎前突。抜歯部位:上顎左右4番、下顎左右5番。マルチブラケット法による歯列矯正(KBTマルチブラケットシステム使用)










- 初診時15歳3か月
- 治療回数29回
- 治療期間2年3か月
- 治療費(リテーナー代金込み)¥762,000(税別)
症例49 Angle classⅠ上顎前突。抜歯部位:上顎左右4番、下顎左右5番。マルチブラケット法による歯列矯正(KBTマルチブラケットシステム使用)歯列矯正用アンカースクリュー併用










- 初診時34歳5か月 主訴出っ歯を治したい
- 治療回数62回
- 治療期間4年
- 治療費(リテーナー代金込み)¥930,000(税別)
治療期間が長かったのは上顎左側6番がアンカーロスしⅡ級の咬合関係になったので、Ⅰ級の咬合関係に修正するのに時間がかかりました。
修正にはアンカースクリューを使用しました。現在では治療初期からアンカースクリューを使用しています。それにより治療期間が短縮されています。
歯列矯正をすることで虫歯、歯周病のリスクが高まります。歯根吸収、歯肉の裂開、歯肉の退縮、ブラックトライアングルの出現の可能性があります。
治療期間が予定より長引くことがあります。動的治療終了時の歯列は永久に保持されるものではなく、経年的に多少なりの変化があります。