インプラント治療について
インプラント治療は、歯周病、事故やけがなどにより歯を失ってしまった場合、
その部分を人工歯根(インプラント)と人工歯で補い、自分の歯の代わりにする治療法です。

人工歯根(インプラント)はチタンという生体親和性に優れた金属でできています。それを外科手術で顎の骨に埋め込み、インプラントと顎の骨とがしっかりと結合するのを待ちます。その上に、セラミックという白い陶材でできた、ほかの歯の色調と同様の人工歯を装着します。
入れ歯やブリッジなど、歯肉の上だけに装着する人工歯とは異なり、歯肉の下(顎の骨)で強く固定されるので、まるで自分の歯のように力を入れて噛むことができ、見た目も自然で美しく仕上がります。
ご自分での丁寧なケアと、歯科医院での定期的なメンテナンスの継続が必要になりますが、歯科医師の指示に従い、適切なケアができていれば、長年にわたり使い続けることができます。
治療後のケアやメンテナンスを怠ると、インプラント周囲炎(歯周病と同様の病気)を発症し、場合によっては再手術をしなければならないこともあるので注意が必要です。
近年、歯を失った場合の入れ歯やブリッジに代わる治療法として選ばれる方の多い、画期的な治療法です。
当院のインプラント治療
ありがとうございます。2022年12月で当院のインプラント埋入本数が累計1,200本を越えました。
これも皆さまのご支持があるから達成できた数字です。これからも地域に根ざした良質なインプラントを目指していきます。
よつじ歯科・インプラント矯正歯科クリニックのインプラントが選ばれる理由
院長自ら手術を担当し、インプラントの不具合には迅速に対応します
インプラント治療のトラブルは、一般的には少ないものです。しかし、少ないながらも「人工歯が外れる」「アバットメント(人工歯の土台)や人工歯を留めるねじが緩む」などのトラブルが起こることもあります。
院では、不測の事態にも迅速に対応できますのでご安心ください。
低価格でご提供しています
インプラント療法を受けた後で、もしほかの歯を失ってしまったら…。追加でインプラント療法を受ける余裕がないとお困りになるのではないでしょうか?
そのようなことがないよう、当院ではインプラント治療をできる限り低価格で提供しています。詳しくは料金表をご覧ください。
インプラント10年保証、保険会社の加盟医院です
希望される方には、オプションで10年保証の保険にご加入いただけます。ご加入いただくと全国の300以上の提携歯科医院で保証を受けていただけます。引っ越されても、転居先の提携歯科医院をご紹介しますので、ご安心ください。
当院にも、転勤などの理由で県外から多くの患者さんがメンテナンスに通われています。
48種類のインプラントをご用意しています
低価格なものから高品質ものまで多種類のインプラントを取り揃えていますので、患者さんのご希望に応じた治療をご提供できます。
「骨が少ない」方も治療できます。
顎の骨を増やす手術を行なうことで、インプラント治療を受けていただけます。当院では、サイナスリフト(上顎洞底挙上術)などの骨造成手術を、低価格でご提供しています。
丈夫で長持ち、体に優しいインプラントです
当院のインプラント治療は、体に優しく、無理のない噛み合わせを実現させることをいちばん大切にしています。
院長は「特定非営利活動法人 日本ベッグ矯正歯科学会」認定の矯正歯科認定医であり、歯並びや噛み合わせの専門的な知識・技術をもっているため、理論的裏付けのある、矯正理論を応用したインプラント治療が可能です。これは、日本ベッグ矯正歯科学会認定の矯正歯科認定医だからこそできるインプラント治療です。
なお、過去10年間、脱落したインプラントは1本もありません。
信頼の証。県北随一の実績
2004年より開始したインプラント治療におけるインプラントの埋入本数は、2024年で合計1,544本となります。20年続けることで症例数を増やし多くの経験を蓄積することで知見を深め、難症例にも対応できるようになりました。
| 年度 | 2004 | 2005 | 2006 | 2007 | 2008 | 2009 | 2010 | 2011 | 2012 | 2013 | 2014 | 2015 | 2016 | 2017 | 2018 | 2019 | 2020 | 2021 | 2022 | 2023 | 2024 | 合計 |
|---|---|---|---|---|---|---|---|---|---|---|---|---|---|---|---|---|---|---|---|---|---|---|
| 本数 | 14 | 12 | 7 | 24 | 56 | 67 | 11 | 86 | 108 | 80 | 68 | 98 | 105 | 96 | 88 | 72 | 72 | 71 | 122 | 135 | 152 | 1544 |
| 症例数 | 5 | 3 | 2 | 7 | 12 | 14 | 5 | 32 | 40 | 22 | 21 | 38 | 41 | 36 | 41 | 33 | 36 | 35 | 52 | 54 | 58 | 587 |
30年、40年と使う前提でインプラント治療を計画します
インプラントを埋め込んで終わり、ではありません。ご自分の大切なインプラントを長持ちさせるためには、インプラントを埋め込み終わってからのケアが大切です。
患者さん一人ひとりに合った個別の予防メニューをご提案し、徹底した口腔ケアを行ないます。
インプラント治療のための医院選び
インプラント治療に関する疑問やお悩みがありましたら、ぜひご相談ください。
たとえば、現在通院されてる歯科医院で、「インプラントをすすめられ、見積もりをもらったけれど、金額が妥当かどうかわらかない…」「入れ歯は適用できないからと、インプラントをすすめられたけれど、自費診療の入れ歯はどんなものなの…?」など…。
インプラント治療のさまざまな疑問やお悩みにお答えします。
インプラントは高度な医療?
「インプラント治療にはたいへん高度な治療技術が要求される」と書いてあるウェブサイトや書籍があります。これは条件にもよりますが、誤りがあります。
インプラント治療自体は、たいへん単純な治療です。私は、歯科医なら誰でも知っている有名なK先生からインプラントを教わりましたが、その先生がおっしゃるには、「インプラント治療は難しくない。基本原則を守れば誰でもできる」とのことでした。ですから、インプラント治療を受けることをためらわれている方は、あまり深刻に考えないでください。
当院では、インプラント治療は抜歯と同様に日常的に行なっている治療です。歯を抜く行為の逆だと考えれば、簡単であることがおわかりいただけるのではないでしょうか?
歯科用CTのある医院がいいの?
「歯科用CTを導入している歯科医院がおすすめ」と書いてあるウェブサイトや書籍があります。歯科用CTはたいへん高額であり、メンテナンスの費用も高額になります。結果的に、それらの費用は患者さんの負担となってしまうため、歯科用CTを導入している歯科医院のインプラント治療は高額になります。
また、医科用のCTであれば、骨の密度や分布の測定が正確にできますが、歯科用のCTではそれらの測定を正確にできません。これらの事実から考えると、歯科用CTを備えた歯科医院でインプラント治療を受けることが、患者さんの利益になるかどうかは大いに疑問です。
当院では歯科用CTを導入していませんが、提携している病院に、精密で信頼性の高い医科用CTでの撮影を依頼しています。分業によるコストダウンを図り、患者さんの負担を軽減しています。
CT撮影は必要なの?
すべてのインプラント手術前に、CT撮影が必要なわけではありません。CT撮影が必要な症例は全体の2~3割程です。CT撮影をしていない歯科医院を、経験と勘で手術をしているように書いてあるウェブサイトがありますが、それは必要のないCT撮影をしている医院です。
CT撮影が必要な症例は、サイナスリフト(上顎洞底挙上術)、X線写真で下顎管が不明瞭な場合、下顎の歯槽頂が尖っている場合だけです。
口腔内を視診・触診することで骨の形、セファログラム(頭部X線規格写真)で下顎中切歯の矢状断を把握できるので、下顎骨の形態がよくわかります。そのため、CT撮影が必要な症例はごく限られたものになります。
手術室が必要なの?
どのような歯科医院であっても、清潔であれば手術できます。インプラント治療で有名な先生方の中にも、手術室をお持ちでない先生は多数おられます。当院にも手術室はありませんが、術前の徹底した清掃により清潔な環境で手術を行なっています。
なお、過去10年間、脱落したインプラントは1本もありません。
他の治療との違い
入れ歯・総入れ歯

入れ歯は、歯の機能を回復する治療のなかで多くの方が使われている治療法です。周囲の歯に留め具を引っ掛けて入れ歯を固定する「部分入れ歯」と、歯肉を含めた歯全体を再現した入れ歯を密着させながら固定する「総入れ歯」があります。
- メリット
- ・歯の欠損が多い場合にも適用できます
・健康な歯を削る必要がありません
・保険適用で治療できます
- デメリット
- ・噛み心地が悪く、硬いものが食べにくくなります
・取り外しての清掃が必要です
・留め具の金属が見えてしまう場合があります
ブリッジ

失った歯の両隣の歯を支えとして人工歯を入れる治療法です。両隣の歯に橋をわたすようにすることから「ブリッジ」といわれています。両隣に健康な歯がある場合に適用できます。その両側の歯を削る必要がありますが、手術が必要なく、短期間の治療で違和感の少ない噛み心地を得られます。
- メリット
- ・固定式なので違和感がほとんどありません
・短期間で治療が終わります
・保険適用で治療できます
- デメリット
- ・両隣の歯を削る必要があります
・両隣の歯への負担が大きくなります
・歯肉との密着部分に食べ物が詰まりやすくなります
インプラント

虫歯や歯周病などの理由で歯を失ってしまった場合、歯の根の代わりとなるインプラント(人工歯根)を顎の骨に埋め込んで骨と結合させ、その上にセラミックなどでできた人工歯を被せ、歯の機能を回復させる治療法です。ほかの治療法とは異なり、内側からしっかりと支柱を立てて人工歯を被せるので、ぐらつきのない安定した噛み心地を得られます。
- メリット
- ・しっかりと違和感なく噛むことができます
・健康な歯を削る必要がありません
・天然歯と区別がつかないほど自然な見た目です
- デメリット
- ・インプラントを埋め込む外科手術が必要です
・他の治療方法に比べ、治療期間が長くなります
・自費診療(保険適用外)なので、費用が高額になります
ALL-on-4

All-on-4(オール・オン・フォー:最少4本のインプラントを用いて固定式補綴物を支える無歯顎修復)は、総入れ歯をお使いの方や多くの歯を失った方のためのインプラント治療です。
従来、すべての歯を失った方にインプラント治療を行なう場合、骨の移植をしたり、8~14本のインプラントを埋め込むのが一般的でした。
そのため手術時間が長くなり、術後の腫れも大きく、費用がかさむという不安要素がありました。

All-on-4(オール・オン・フォー:最少4本のインプラントを用いて固定式補綴物を支える無歯顎修復)であれば、奥のインプラントを骨のある部分へ斜めに埋め込み、力を広く均等に配分することにより、最小4本(※)のインプラントですべての人工歯を支えられます。そのため、上記のような不安要素を解消することができました。
手術や費用の負担を必要最低限に抑えた画期的なインプラント治療です。
※顎の骨の状態によってはインプラントの本数が多くなる事もありますので、主治医によくご相談ください。
| 総入れ歯による トラブル |
All-on-4なら こんなに快適 |
|---|---|
| 入れ歯と歯肉の間に食べ物が挟まって痛む | 食べ物が挟まって痛むことがない |
| 充分な力で噛めず、硬い物を食べられない | 顎の骨に固定されているため、硬い物も食べられる |
| 歯肉が覆われ、食べ物がおいしく感じられない | 天然歯と同様に噛んだり、味わったりできる |
| 動くため発音しにくく、話すのが不安になる | 固定されているため、安心して話せる |
| 外しての洗浄が必要なため、外出や旅行がしにくい | 固定式で外す必要がないため、外出や旅行を楽しめる |
| 口臭が気になって人に会いにくい | 自信をもって人に会える |
| 顎が痩せ、老けて見える | あごの骨の変形が少なく、若々しい顔貌を維持できる |
たった1日で取り外しのいらない歯に

All-on-4(オール・オン・フォー:最少4本のインプラントを用いて固定式補綴物を支える無歯顎修復)は、埋め込むインプラントの数が最小4本(※)で済み、骨の移植なども必要ありません。
また、抜歯からインプラントの埋め込み、仮歯の装着まで、1日で行なうことが可能になりました。
つまり、今まで使っていた歯や入れ歯を手術当日まで使えて、その夜には新しいインプラントで支えられた仮歯で食事ができるのです。All-on-4(オール・オン・フォー:最少4本のインプラントを用いて固定式補綴物を支える無歯顎修復)は、短時間で固定式の仮歯が入る画期的な治療法です。たった1日で口もとが劇的に変わり、さまざまな入れ歯の悩みから解放されます。
※顎の骨の状態によってはインプラントの本数が多くなる事もありますので、主治医によくご相談ください。
ALL-on-4の治療の流れ
STEP1
レントゲン写真撮影、印象採得(歯型とり)、咬合検査などを行ない、全体的な治療計画を立てます。
手術後に装着する仮歯をあらかじめ作製します。
STEP2
抜歯が必要な場合は抜歯します。
歯肉を切開してインプラントを埋め込みます。麻酔をしてから行なうため、痛みは感じません。
STEP3
インプラントを埋め込んだ後、しばらく休憩します。
STEP4
インプラントを埋め込んだ数時間後には、仮歯を装着できます。
1日で治療可能(お口の状態により、仮歯の装着が手術翌日以降になる場合もあります)
STEP5
インプラントの埋め込みから約6ヵ月後に、強度に優れた美しい仕上がりの最終ブリッジと交換します。
最終ブリッジを取り付けた後は、ご自分の歯のように何でも噛めるようになります。
当院の骨造成

再生治療
細胞がもつ再生能力を利用した再生医療は、21世紀の医療技術として急速に進歩、普及しています。
科領域でも再生医療の技術を応用し、失った歯肉や骨を再生できるようになりました。
CGF再生療法
採取した血液を一定速度で遠心分離することにより、血小板とフィブリンを多く含んだゲル状の層と血球の層に分かれます。
このゲルはCGF(Concentrated Growth Factors)とよばれ、各種増殖因子が含まれています。外部から血液凝固剤を加えて人工的に凝固させることなく、血液中の凝固因子を刺激することで自然にフィブリンを形成させるため、添加物を一切含まない完全自己血由来となり、その安全性の高さが特徴となります。
CGFは傷の治癒を促進させる効果があるため、歯肉の再生や、骨を増やす手術に大きな効果を発揮します。
AFG
(Autologos Fibrinogen Glue)
遠心分離するとき、プラスチックの試験管で分離すると、ゲル化しない血小板とフィブリンの層が分離されます。
これを人工骨と混ぜて使用することで骨を増やす手術に大変効果を発揮します。
治療後のメンテナンスについて

適切なメンテナンスをしなければ、インプラントは長持ちしません。当院では、患者さんに長くインプラントをお使いいただけるよう、お口全体の健康を守るためのメンテナンスシステムを整えています。時間をかけて以下の工程を丁寧に行ない、患者さんのお口の健康を長期的にサポートしてまいります。
お口の中の健康状態のチェック / クリーニング / 噛み合わせ検査 / ブラッシング指導
インプラント治療後のメンテナンスは、一般的に3ヵ月に1回ほどがよいとされていますが、患者さんのお口の状態によって異なるので、それに合わせて継続的に行なっていきます。当院では、患者さんのお口の中の状態やブラッシングの状態、食生活や喫煙などの生活習慣を把握し、その方に合わせた予防プログラムをご提案しています。
インプラント治療の症例集
当院で実際にインプラント治療やAll-on-4(オール・オン・フォー:最少4本のインプラントを用いて固定式補綴物を支える無歯顎修復)を受けられた患者さんの症例写真を掲載しています。
治療前後の写真を比較できるため、違いがすぐにおわかりいただけます。
入れ歯とインプラント、どちらにするかお悩みの方や、入れ歯からの変更をお考えの方は、ぜひご覧ください。
インプラント治療の症例集
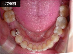
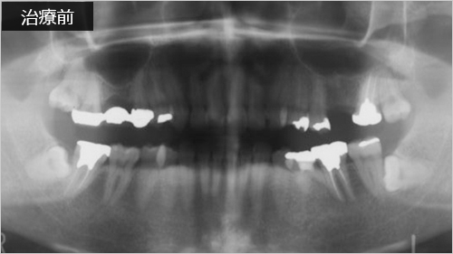
インプラント症例1
34歳 女性- 治療期間 4か月(埋入手術から上部構造装着まで)
- 治療費 ¥250,000(税別)
前後の歯を削らずに歯が入りました。

インプラント症例2
74歳 男性- 治療期間 下顎4か月(埋入手術から上部構造装着まで) / 上顎6か月(埋入手術から上部構造装着まで)
- 治療費 上顎¥2,500,000(税別) 下顎1,150,000(税別)
治療後はステーキが噛みきることができるようになりました。肉汁があふれ、肉の味が良く分かるそうです。
インプラント症例3
56歳 女性- 治療期間 上顎6か月(埋入手術から上部構造装着まで)
- 治療費 上顎¥1,300,000(税別)
骨が少ない場合の症例です。傾斜してインプラントを入れ、人工の骨を追加して工夫しました。
インプラント症例4
72歳 男性- 治療期間 下顎3か月(埋入手術から上部構造装着まで) / 上顎6か月(埋入手術から上部構造装着まで)
- 治療費 上顎¥2,500,000(税別) 下顎¥500,000(税別)
骨が薄いので本数を少し増やして対応しました。
インプラント症例5
30歳 女性- 治療期間 下顎4か月(埋入手術から上部構造装着まで) / 上顎6か月(埋入手術から上部構造装着まで)
- 治療費 上顎¥1,500,000(税別) 下顎1,000,000(税別)
骨が少ない場合の症例です。傾斜してインプラントを入れ、人工の骨を追加して工夫しました。
インプラント症例6
15歳 女性- 治療期間 4か月(埋入手術から上部構造装着まで)
- 治療費 ¥250,000(税別)
骨が少ない場合の症例です。傾斜してインプラントを入れ、人工の骨を追加して工夫しました。
現在上部構造が入り順調に経過しています。
インプラント症例7
45歳 男性- 治療期間 4か月(埋入手術から上部構造装着まで)
- 治療費 ¥1000,000(税別)
右側(Rと書いてあるほう)をご覧ください。骨に入っている部分と骨から出ている部分の長さの比に注目です。骨が少なくてもインプラント可能です。術後6年が経ち順調な経過といえます。
インプラント症例8
33歳 男性- 治療期間 下顎4か月(埋入手術から上部構造装着まで) / 上顎9か月(埋入手術から上部構造装着まで)
- 治療費 上顎¥850,000(税別) 下顎¥750,000(税別)
サイナスリフトの症例です。
インプラント症例9
45歳 女性- 治療期間 6か月(埋入手術から上部構造装着まで)
- 治療費 ¥520,000(税別)
ソケットリフトの症例です。術後3年9か月経過しました。右側の骨造成したところは完全に骨となっているのがパノラマX線写真から確認できます。
インプラント症例10
32歳 男性- 治療期間 下顎3か月(埋入手術から上部構造装着まで) / 上顎9か月(埋入手術から上部構造装着まで)
- 治療費 上顎¥350,000(税別) 下顎¥250,000(税別)
サイナスリフトの症例です。左下5番を牽引しました。右上8番は歯根が短いので抜歯し、右上7番単独のサイナスリフトをしました。術後4年経過しています。インプラント、歯並びとも経過は良好です。7番単独のサイナスリフトは結構難しいです。
インプラント症例11
51歳 女性- 治療期間 下顎3か月(埋入手術から上部構造装着まで) / 上顎9か月(埋入手術から上部構造装着まで)
- 治療費 上顎¥350,000(税別) 下顎¥350,000(税別)
サイナスリフトの症例です。左上6番のサイナスリフトです。中間欠損は結構やりにくいです。写真は2次オペ時のパノラマX線写真です。現在5年経過していますが経過は良好です。
上顎左側6番部位は抜歯後4か月経過したのちにサイナスリフトしました。円錐状に骨欠損があり一番深いところで上顎洞まで2mm程でした。この時はCT撮影なしでサイナスリフトをしていました。
骨を削るときに後上歯槽動脈を見つけたら避けると考えてやっていました。この考えは間違いではありませんが、もし見つけて避けるとなると骨の開削に時間がかかることになりますし開窓が広くなる危険があるので現在ではCT撮影で確認を取ってやることにしています。
インプラント症例12
43歳 男性- 治療期間 下顎3か月(埋入手術から上部構造装着まで) / 上顎9か月(埋入手術から上部構造装着まで)
- 治療費 上顎¥2,000,000(税別) 下顎¥1,000,000(税別)
術前:上下左右臼歯部は欠損期間が長かったため垂直的骨の厚みが1mmしかありませんサイナスリフトが必要になります。
術後:骨造成した部分は2次手術まで少し時間を多めに待ちます。下顎の2次手術後のパノラマX線写真です。1次手術は3回に分けて行いました。
上顎右側のインプラントは並行性がなく埋入されたように見えます。これはパノラマX線写真の特徴です。デンタルアーチから上下、頬舌的にずれた場合並行性がないように映ります。これを頭部X線規格写真(セファロ)で撮影すると並行であることが分かります。
上顎左側の上顎洞底には高さ3mmほどの中隔があり、これを避けサイナスリフトを行いました。
骨補填材はβ—TCPとHAを3:1の割合で混合したものです。インプラントは純チタン製に吸収性HAが塗布されたものを使用しました。
一時的な唇、舌、頬、歯肉そして歯牙の感覚マヒ、近接歯牙・顎・上顎洞・鼻腔に対する炎症・疼痛・過敏症・組織治癒の遅延及び顔面部の内出血、傷口の腫れ。
※インプラントの耐久性は、天然歯同様、口腔衛生状態(喫煙の有無、喫煙者の協力度、咬合力、咬み合わせ、骨量、歯肉量、歯磨き、メンテナンス)により変化します。
免疫不全や1型糖尿病になることでインプラントの耐久年数は下がります。ホルモン治療や受放射線治療を受ける方も同様です。
