2026年3月の記事一覧

矯正症例147 AngleⅠ級 上顎前突 裏側矯正 舌側矯正
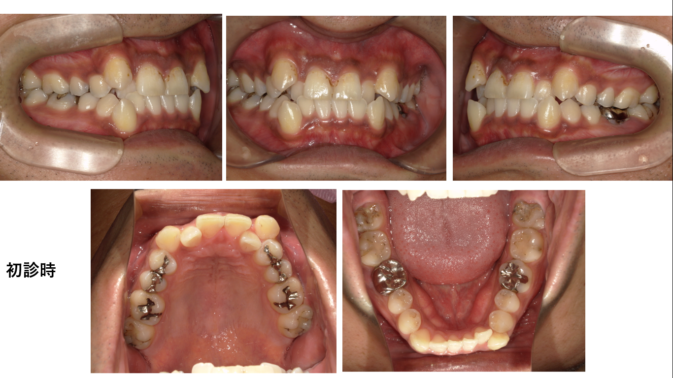
初診時23歳6か月、抜歯部位:上顎左右4番、上下顎左右8番、治療期間3年 治療費総額¥1,560,000(税込み)向かって左が初診時右が動的治療終了時の横顔の写真です。同じく、向かって左が初診時右が動...

矯正症例146 骨格性下顎前突、八重歯、変則抜歯症例
初診時34歳男性、治療期間3年4か月、抜歯部位:上顎週左右4番、下顎右側4番、下顎左側6番、8番。治療費総額124万円(税込み)左の6番は根幹治療がしてあり根尖病巣を確認できたので抜歯となりました。下...
最新記事
- 矯正症例148 AngleⅠ級上顎前突、裏側矯正、舌側矯正
- 矯正症例147 AngleⅠ級 上顎前突 裏側矯正 舌側矯正
- 矯正症例146 骨格性下顎前突、八重歯、変則抜歯症例
- 矯正症例145 叢生を伴うAngleⅡ級1類上顎前突
- 矯正症例144 AngleⅡ級2類
カテゴリー
- 矯正症例(100)
- 矯正ブログ(22)
- 矯正(7)
- 歯列矯正のセカンドオピニオン症例(3)
- 矯正に役立つ話(9)
- デタラメ矯正(7)
- インプラント(49)
- インプラントのセカンドオピニオン症例(1)
- 審美歯科(15)
- 文献を読むシリーズ(1)
- 院長の戯言(7)
- 定期検診(4)
- 保険診療(3)
- ホワイトニング(4)
- 入れ歯(6)
- その他(3)
- レーザー(1)
- 虫歯治療(1)
- 未指定(39)