歯列矯正のセカンドオピニオン症例の記事一覧

歯列矯正のセカンドオピニオン症例、基地外歯科医
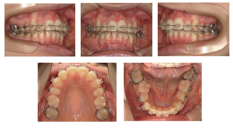
昨年暮れに来院した症例です。ある歯科医院に通院して2年経過した症例です。患者が言うには、この治療を始めたところでは、この1年はブラケットにワイヤーを留めるゴムを替えるだけで歯列に全く変化がないそうです...

歯列矯正に失敗、いつになったら終わる?セカンドオピニオン症例、能代市、北秋田市、秋田市、大館市
気の毒な症例がやってきました。ある歯科医院で21歳代前半から矯正を始めて5年経過の症例です。今年5月に6年目に突入となります。患者は不安になりました。「治療期間が長すぎないか?このままでは一体いつに...

セカンドオピニオン 治療途中で転院 口元出たままで矯正終了1 、秋田市、大館市、北秋田市、能代市
先日、秋田市内の方からセカンドオピニオンを求められました。能代まで来て下さりありがとうございます。当院へ来院した経緯を伺うと以下の説明がありました。現在通院中の矯正専門の歯科医院で上顎の左右第一小臼歯...
最新記事
- 矯正症例 140 AngleⅠ級上下顎前突、舌側矯正,口ゴボ,裏側矯正
- 矯正症例139 AngleⅠ級叢生、下顎8番埋伏歯の牽引
- マウスピース矯正からワイヤー矯正へ、ってか?
- 歯ぎしりのある患者にインプラントをして14年経過
- 矯正症例138 AngleⅡ級1類 上下顎前突、口ゴボ
カテゴリー
- 矯正症例(92)
- 矯正ブログ(22)
- 矯正(7)
- 歯列矯正のセカンドオピニオン症例(3)
- 矯正に役立つ話(9)
- デタラメ矯正(7)
- インプラント(48)
- インプラントのセカンドオピニオン症例(1)
- 審美歯科(15)
- 文献を読むシリーズ(1)
- 院長の戯言(8)
- 定期検診(4)
- 保険診療(3)
- ホワイトニング(4)
- 入れ歯(6)
- その他(3)
- レーザー(1)
- 虫歯治療(1)
- 未指定(39)