インプラント補綴転院症例、能代市、北秋田市、大館市、秋田市
年に数人ですが、他院でインプラントを入れたけど、上物を作って欲しいと当院へ来院される方がいます。様々な理由があるようです。困っている方にはできるだけ力になってあげたいと思っています。
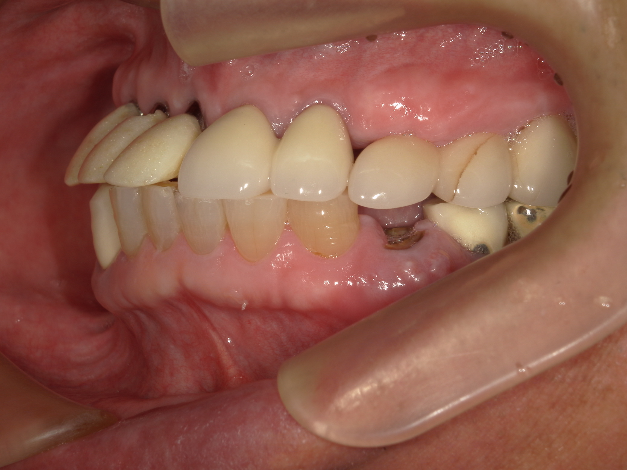
歯科関係者でなくとも、何か変だと気付きます。
右側面です。横から見ると問題がはっきりします。上顎前歯の歯軸傾斜が強すぎます。右上5番から左上7番までがインプラントです。右上4,5は仮歯が壊れて外れた、と言っていました。上顎前歯はかなり無理な補綴がしてあります。すごい出っ歯ですね。セファロ分析はしていないので正確さに欠けますが、おそらく骨格性の反対咬合であったと思われます。
左側面です。左下4番は残根状態で抜歯が必要でした。
右上の仮歯が壊れています。右上1~5番がインプラントで仮歯が入っていたのですが右上4,5番は壊れて脱落しています。無理な補綴をしてあるからです。
下顎は左下5,6,7番右下6,7番がインプラントでした。

初診時のパノラマX線写真です。ワンピースタイプのAQBインプラントが入っています。
患者さんの希望は仮歯の入っているインプラントの上物(最終補綴物)を作ってほしい。というものでした。しかし、初診時の状態で制作すると必然的に補綴物は壊れるか外れます。外れない場合はインプラント周囲の骨吸収を惹起しインプラント体が脱落します。
作り直したところです。上顎前歯の傾きが改善されています。
初診時と比べると違いが明瞭です。
インプラント治療には以下のようなリスクを伴う可能性があります。
一時的な唇、舌、頬、歯肉そして歯牙の感覚マヒ、近接歯牙・顎・上顎洞・鼻腔に対する炎症・疼痛・過敏症・組織治癒の遅延及び顔面部の内出血、傷口の腫れ。
※インプラントの耐久性は、天然歯同様、口腔衛生状態(喫煙の有無、喫煙者の協力度、咬合力、咬み合わせ、骨量、歯肉量、歯磨き、メンテナンス)により変化します。
免疫不全や1型糖尿病になることでインプラントの耐久年数は下がります。ホルモン治療や受放射線治療を受ける方も同様です。
最新記事
- 矯正症例142 AngleⅠ級、上顎前突
- 矯正症例141 AngleⅠ級 上下顎前突、ガミースマイル、口ごぼ
- 矯正症例 140 AngleⅠ級上下顎前突、舌側矯正,口ゴボ,裏側矯正
- 矯正症例139 AngleⅠ級叢生、下顎8番埋伏歯の牽引
- マウスピース矯正からワイヤー矯正へ、ってか?
カテゴリー
- 矯正症例(94)
- 矯正ブログ(22)
- 矯正(7)
- 歯列矯正のセカンドオピニオン症例(3)
- 矯正に役立つ話(9)
- デタラメ矯正(7)
- インプラント(48)
- インプラントのセカンドオピニオン症例(1)
- 審美歯科(15)
- 文献を読むシリーズ(1)
- 院長の戯言(7)
- 定期検診(4)
- 保険診療(3)
- ホワイトニング(4)
- 入れ歯(6)
- その他(3)
- レーザー(1)
- 虫歯治療(1)
- 未指定(39)