当院は医療広告ガイドラインを遵守しています。
新着一覧

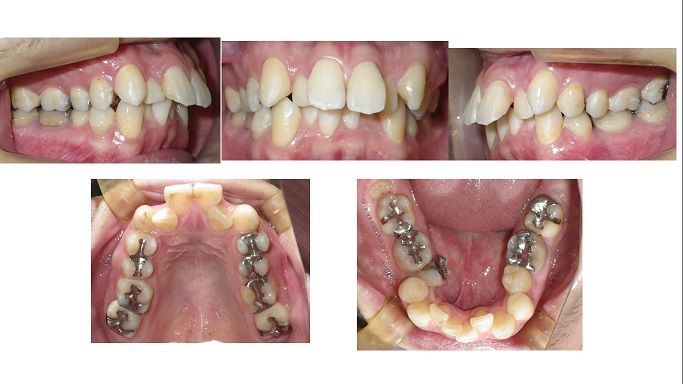
矯正症例63 AngleclassⅠ上顎前突 叢生,能代市,北秋田市,大館市
治療開始年齢16歳、抜歯部位:上顎左右4番、下顎左右5番、上顎左右7番。治療期間2年2か月。来院回数:33回 使用装置:マルチブラケット法による歯列矯正、歯列矯正用アンカースクリュー併用高校1年生の2...

ハーフリンガルの難症例 舌側矯正 能代市 北秋田市 大館市
ハーフリンガルの症例です。初診時の写真を見ると結構難しい症例だったことが分かります。上顎前突で過蓋咬合で大臼歯が左Ⅱ級、右Ⅰ級、左の6番が交差咬合左下7番の歯根が短く抜歯が必要でした。右下7番は埋伏8...

インプラント相談に失敗した患者さん 能代市 北秋田市 大館市
これもある患者さんの話です。年齢は30歳代のまだ若い方がインプラントの相談をしたいと来院されました。お口の中を拝見すると右下に部分入れ歯、左上に5歯欠損の部分入れ歯が入っていました。口の中はおばあち...

インビザラインってどうなの? インビザライン アライナー矯正 矯正 失敗 能代市 秋田 北秋田市 大館市 矯正
インビザラインってどうなの? ネットでインビザラインの広告を頻繁に見かけます。歯科医院のHPを診ると大々的にインビザラインを宣伝しているところがあります。そこで今回はインビザラインに関して解説します。...

矯正症例62上下顎前突
初診時32歳 抜歯部位:上下左右4番。使用装置:OPA-K、歯列矯正用アンカースクリュー併用。 治療期間4年3か月 治療費82万円(税別)治療期間が予定より長くなりました。この症例からも知見を深められ...

大人は歯列矯正できないと思っている患者さんがいます。
いまだに歯列矯正は子供がするものだと思っている大人がいることを知りました。ある患者さんの話です。 最近の話です。40歳台前半の叢生(デコボコ)が激しい患者さんが来院しました。その方の叢生があまりに酷...

「他院で骨が足りないからインプラントできない、と言われた患者さんへ」
注意を怠っていた事実 当院でインプラント治療された患者からの紹介で、ある患者さんが来院されました。その患者さんは左下に親知らずと小臼歯をつないだ長いブリッジが入っていました。親知らずは虫歯が大きく残...

矯正症例61 骨格性下顎前突 叢生
患者データ診断名:骨格性下顎前突、叢生。治療開始年齢21歳 3か月。抜歯部位:上顎左右4番、下顎左右5番 。治療装置:上顎ベッグブラケット、下顎KBTマルチブラケットシステム。治療期間2年8か月 来院...

抜歯と言ったのに、信じてくれなかった患者
歯科医院選びに役立つ話 こんな患者さんが来院しました。4年ほど前にある患者さんが初診で来院しました。その時のデンタルX線写真です。歯の調子が悪いということで当院を受診されました。 これを見ると歯科業...

矯正症例60 上下顎前突 口元もっこり
初診時16歳4か月 性別男性 主訴:審美障害 診断:上下顎前突 抜歯部位:上下顎左右4番 8番 治療期間2年10か月 来院回数39回 治療費総額75万円(税別)KBTマ...
最新記事
- 矯正症例151 AngleⅠ級叢生
- 矯正症例150 AngleⅠ級叢生
- 矯正症例149 AngleⅠ級上顎前突
- 矯正症例148 AngleⅠ級上顎前突、裏側矯正、舌側矯正
- 矯正症例147 AngleⅠ級 上顎前突 裏側矯正 舌側矯正
カテゴリー
- 矯正症例(103)
- 矯正ブログ(22)
- 矯正(7)
- 歯列矯正のセカンドオピニオン症例(3)
- 矯正に役立つ話(9)
- デタラメ矯正(7)
- インプラント(49)
- インプラントのセカンドオピニオン症例(1)
- 審美歯科(15)
- 文献を読むシリーズ(1)
- 院長の戯言(7)
- 定期検診(4)
- 保険診療(3)
- ホワイトニング(4)
- 入れ歯(6)
- その他(3)
- レーザー(1)
- 虫歯治療(1)
- 未指定(39)