当院は医療広告ガイドラインを遵守しています。
新着一覧

インプラントを長持ちさせるために
先日、ある患者さんの紹介でインプラントを希望する方が来院しました。オレンジ色の線で囲まれている部分の歯が割れているのでその歯を抜いてインプラントを希望していました。患者さんは割れた歯が気になっていたま...

矯正症例143 AngleⅡ級2類、裏側矯正、舌側矯正
治療開始年齢24歳、治療期間3年、抜歯部位:下顎左右5番、上顎左右4番、治療費総額1,310,000(税込み)歯列矯正には以下のリスクを伴う場合があります。1最初は矯正装置による不快感、痛み等がありま...

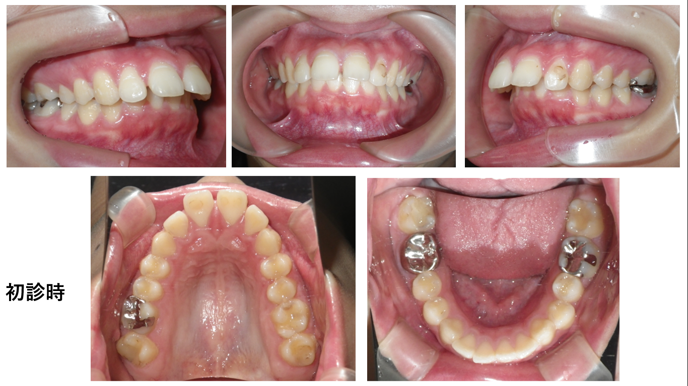
矯正症例142 AngleⅠ級、上顎前突
初診時24歳、性別:女性、治療期間2年8か月、抜歯部位:上顎左右5番、下顎左右4番,治療費総額1,030,000円(税込み)この症例も患者さんから症例掲載の許可を得ています。 抜歯するかしないかで悩ん...

矯正症例141 AngleⅠ級 上下顎前突、ガミースマイル、口ごぼ
初診時15歳、治療期間3年、抜歯部位:上下顎4番、8番、治療費総額102万円(税込み)この症例も患者さんからHP掲載の許可を得ています。歯列矯正には以下のリスクを伴う場合があります。1最初は矯正装置に...

矯正症例 140 AngleⅠ級上下顎前突、舌側矯正,口ゴボ,裏側矯正
治療開始年齢29歳3か月、治療期間3年3か月、抜歯部位:上下顎左右4番、下顎左右8番、上顎右側8番、治療費総額¥1,580,000(税込み)口蓋正中部にアンカースクリュー除去の跡があることでわかる通り...

矯正症例139 AngleⅠ級叢生、下顎8番埋伏歯の牽引
初診時30歳、抜歯部位:上顎左側5番、下顎右4番,左側5番、下顎右側7番、治療期間3年7か月、治療費総額113万(税込み)上顎右側犬歯は抜歯されていました。初診の下顎右側7番が銀歯ですが、動的治療終了...

マウスピース矯正からワイヤー矯正へ、ってか?
どうやら、マウスピース矯正を始めた、にわか矯正歯科医はマウスピースでは治せない症例が圧倒的に多いと気付いて、今慌ててワイヤー矯正のセミナーを受講しているそうです。しかもそのような方が爆増していいるそう...

歯ぎしりのある患者にインプラントをして14年経過
この患者さんは歯ぎしりが原因で上顎左側3,4番を欠損となり、そこにインプラント入れました。就寝時はナイトガードの使用が必要となります。写真はナイトガードが破損したので新製の為に来院されたので写真を撮ら...

矯正症例138 AngleⅡ級1類 上下顎前突、口ゴボ
初診時19歳8か月、抜歯部位:上顎左右4番、下顎左右5番、上下顎左右8番、治療期間4年6か月、治療費総額¥959,200円(税込み)この症例も患者さんから許可を得て出しています。向かって左が初診時、右...

矯正症例137 AngleⅠ級叢生
治療開始年齢:32歳、抜歯部位:上下顎左右4番、治療期間3年6か月、治療費総額¥1,122,000(税込み)この症例も抜歯が必要な症例です。このような症例にも「マウスピース矯正なら抜歯せず並びます」と...
最新記事
- インプラントを長持ちさせるために
- 矯正症例143 AngleⅡ級2類、裏側矯正、舌側矯正
- 矯正症例142 AngleⅠ級、上顎前突
- 矯正症例141 AngleⅠ級 上下顎前突、ガミースマイル、口ごぼ
- 矯正症例 140 AngleⅠ級上下顎前突、舌側矯正,口ゴボ,裏側矯正
カテゴリー
- 矯正症例(95)
- 矯正ブログ(22)
- 矯正(7)
- 歯列矯正のセカンドオピニオン症例(3)
- 矯正に役立つ話(9)
- デタラメ矯正(7)
- インプラント(49)
- インプラントのセカンドオピニオン症例(1)
- 審美歯科(15)
- 文献を読むシリーズ(1)
- 院長の戯言(7)
- 定期検診(4)
- 保険診療(3)
- ホワイトニング(4)
- 入れ歯(6)
- その他(3)
- レーザー(1)
- 虫歯治療(1)
- 未指定(39)