矯正症例138 AngleⅡ級1類 上下顎前突、口ゴボ
初診時19歳8か月、抜歯部位:上顎左右4番、下顎左右5番、上下顎左右8番、治療期間4年6か月、治療費総額¥959,200円(税込み)


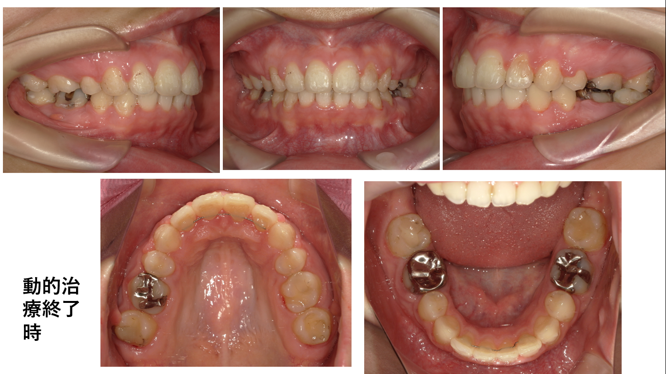
この症例も患者さんから許可を得て出しています。

向かって左が初診時、右が動的治療終了時です。この方も他の患者さんに負けず劣らず結構な美人さんなのですが、おしいことに歯がすごく出ていました。

向かって左が初診時、右が動的治療終了時です。上顎前突の治療では、大小の差がありますが、術後は鼻が高くなります。

向かって左が初診時、右が術後になります。横顔は平面的になりますが、斜め45度の横顔を比較すると口元の立体的な突出度を把握しやすくなります。よりリアルな感じがします。
この症例に限らず、一般的な話をします。
上下左右の小臼歯を抜歯して上顎前突、上下顎前突の治療をすると顔が小さくなります。
当たり前ですよね?抜歯して引っ込んるのですから。
更にこの患者さんは上下左右の親知らずを抜歯しています。臨床上よくあることですが、親知らずの抜歯をしただけで顔が小さくなったという方がいます。これも当たり前なのです。一番奥の歯を抜歯することで歯冠が半分口腔内に出ているなら歯冠の半分のスペースが新しく口腔内にできるのでそこに頬が寄ってくるからです。
この患者さんは上顎前突の矯正治療と親知らずの抜歯で顔が確実に小さくなりました。



笑った時の歯の見え方が前後で違います。私の個人的な意見になりますが、笑った時の歯の見え方を治療のゴールをどこへ持っていくかの診断基準に追加しても良いと思っています。
口を閉じた時にオトガイに皴が寄る方は当然抜歯適応となります。が、人によっては、上唇下唇が柔軟でとても伸びる方がいます。その様な方の中にはオトガイに皴ができない方がいます。が、笑った時に歯が突出して見えます。
歯列矯正には以下のリスクを伴う場合があります。
1最初は矯正装置による不快感、痛み等があります。数日間~1、2 週間で慣れることが多いです。
- 2歯の動き方には個人差があります。そのため、予想された治療期間が延長する可能性があります。
- 3装置の使用状況、顎間ゴムの使用状況、定期的な通院等、矯正治療には患者さんの協力が非常に重要であり、それらが治療結果や治療期間に影響します。
- 4治療中は、装置が付いているため歯が磨きにくくなります。むし歯や歯周病のリスクが高まりますので、丁寧に磨いたり、定期的なメンテナンスを受けたりすることが重要です。また、歯が動くと隠れていたむし歯が見えるようになることもあります。
- 5歯を動かすことにより歯根が吸収して短くなることがあります。また、歯ぐきがやせて下がることがあります。ブラックトライアングルの出現があり得ます。
- 6ごくまれに歯が骨と癒着していて歯が動かないことがあります。
- 7ごくまれに歯を動かすことで神経が障害を受けて壊死することがあります。
- 8治療途中に金属等のアレルギー症状が出ることがあります。
- 9治療中に「顎関節で音が鳴る、あごが痛い、口が開けにくい」などの顎関節症状が出ることがあります。
- 10様々な問題により、当初予定した治療計画を変更する可能性があります。
- 11歯の形を修正したり、咬み合わせの微調整を行ったりする可能性があります。
- 12矯正装置を誤飲する可能性があります。
- 13装置を外す時に、エナメル質に微小な亀裂が入る可能性や、かぶせ物(補綴物)の一部が破損する可能性があります。
- 14装置が外れた後、保定装置を指示通り使用しないと後戻りが生じる可能性が高くなります。
- 15装置が外れた後、現在の咬み合わせに合った状態のかぶせ物(補綴物)やむし歯の治療(修復物)などをやりなおす可能性があります。
- 16あごの成長発育によりかみ合わせや歯並びが変化する可能性があります。
- 17治療後に親知らずが生えて、凸凹が生じる可能性があります。加齢や歯周病等により歯を支えている骨がやせるとかみ合わせや歯並びが変化することがあります。その場合、再治療等が必要になることがあります。
- 18矯正歯科治療は、一度始めると元の状態に戻すことは難しくなります。
最新記事
- 矯正症例143 AngleⅡ級2類
- 矯正症例142 AngleⅠ級、上顎前突
- 矯正症例141 AngleⅠ級 上下顎前突、ガミースマイル、口ごぼ
- 矯正症例 140 AngleⅠ級上下顎前突、舌側矯正,口ゴボ,裏側矯正
- 矯正症例139 AngleⅠ級叢生、下顎8番埋伏歯の牽引
カテゴリー
- 矯正症例(95)
- 矯正ブログ(22)
- 矯正(7)
- 歯列矯正のセカンドオピニオン症例(3)
- 矯正に役立つ話(9)
- デタラメ矯正(7)
- インプラント(48)
- インプラントのセカンドオピニオン症例(1)
- 審美歯科(15)
- 文献を読むシリーズ(1)
- 院長の戯言(7)
- 定期検診(4)
- 保険診療(3)
- ホワイトニング(4)
- 入れ歯(6)
- その他(3)
- レーザー(1)
- 虫歯治療(1)
- 未指定(39)