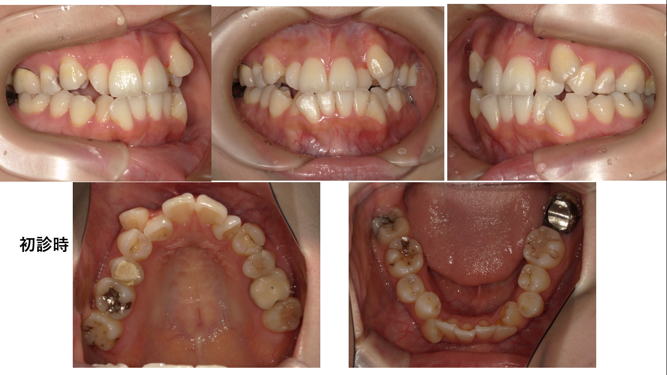
矯正症例139 AngleⅠ級叢生、下顎8番埋伏歯の牽引
初診時30歳、抜歯部位:上顎左側5番、下顎右4番,左側5番、下顎右側7番、治療期間3年7か月
、治療費総額113万(税込み)


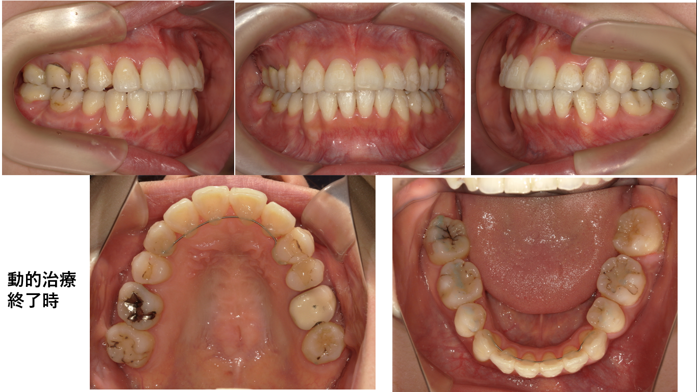
上顎右側犬歯は抜歯されていました。初診の下顎右側7番が銀歯ですが、動的治療終了時の下顎右側7番は白い歯です。これは銀歯を白いに歯に替えたのではありません。根管処置された下顎右側7番のメタルコアが極めて大きく予後不良と判断され抜歯されたからです。抜歯の後、埋伏歯である右側8番は牽引されて7番の位置へ排列されました。
下顎右側8番埋伏歯を牽引するのに2年6か月かかりました。
下顎8番埋伏歯の牽引に関して
矯正治療を希望する患者さんの中には患者さんの側から8番を並べて欲しいと要望する方がいます。そこで、今回この症例を参考に希望する方の為に少し説明を加えます。
この症例では下顎8番の埋伏歯を無事に牽引できましたが、一般的には8番が大きく歯根吸収する場合がありえます。その場合8番が牽引できても歯根が小さく咬合圧に耐えられない場合も考えられます。また、8番の歯冠形態が大きく奇形している場合もあります。奇形度が大きな場合上顎と理想的な咬合が不可能となります。
更に時間がかかります。1年はかかります。この症例では2年6か月かかりました。
ですので7番の予後不良と判断された場合、そのまま使ってもらい、いざ抜歯となったらインプラントで補綴するという考え方も至極妥当な考えと言えます。
何はともあれこの症例の場合、時間こそかかりましたが、歯根の長さも十分あり歯根吸収が無く歯冠の形態も良好です。インプラント1本の値段からすれば格安で自分の歯で咬めるのですから患者さんからすれば良い買い物でした。
歯列矯正には以下のリスクを伴う場合があります。
1最初は矯正装置による不快感、痛み等があります。数日間~1、2 週間で慣れることが多いです。
- 2歯の動き方には個人差があります。そのため、予想された治療期間が延長する可能性があります。
- 3装置の使用状況、顎間ゴムの使用状況、定期的な通院等、矯正治療には患者さんの協力が非常に重要であり、それらが治療結果や治療期間に影響します。
- 4治療中は、装置が付いているため歯が磨きにくくなります。むし歯や歯周病のリスクが高まりますので、丁寧に磨いたり、定期的なメンテナンスを受けたりすることが重要です。また、歯が動くと隠れていたむし歯が見えるようになることもあります。
- 5歯を動かすことにより歯根が吸収して短くなることがあります。また、歯ぐきがやせて下がることがあります。ブラックトライアングルの出現があり得ます。
- 6ごくまれに歯が骨と癒着していて歯が動かないことがあります。
- 7ごくまれに歯を動かすことで神経が障害を受けて壊死することがあります。
- 8治療途中に金属等のアレルギー症状が出ることがあります。
- 9治療中に「顎関節で音が鳴る、あごが痛い、口が開けにくい」などの顎関節症状が出ることがあります。
- 10様々な問題により、当初予定した治療計画を変更する可能性があります。
- 11歯の形を修正したり、咬み合わせの微調整を行ったりする可能性があります。
- 12矯正装置を誤飲する可能性があります。
- 13装置を外す時に、エナメル質に微小な亀裂が入る可能性や、かぶせ物(補綴物)の一部が破損する可能性があります。
- 14装置が外れた後、保定装置を指示通り使用しないと後戻りが生じる可能性が高くなります。
- 15装置が外れた後、現在の咬み合わせに合った状態のかぶせ物(補綴物)やむし歯の治療(修復物)などをやりなおす可能性があります。
- 16あごの成長発育によりかみ合わせや歯並びが変化する可能性があります。
- 17治療後に親知らずが生えて、凸凹が生じる可能性があります。加齢や歯周病等により歯を支えている骨がやせるとかみ合わせや歯並びが変化することがあります。その場合、再治療等が必要になることがあります。
- 18矯正歯科治療は、一度始めると元の状態に戻すことは難しくなります。
最新記事
- 矯正症例141 AngleⅠ級 上下顎前突、ガミースマイル、口ごぼ
- 矯正症例 140 AngleⅠ級上下顎前突、舌側矯正,口ゴボ,裏側矯正
- 矯正症例139 AngleⅠ級叢生、下顎8番埋伏歯の牽引
- マウスピース矯正からワイヤー矯正へ、ってか?
- 歯ぎしりのある患者にインプラントをして14年経過
カテゴリー
- 矯正症例(93)
- 矯正ブログ(22)
- 矯正(7)
- 歯列矯正のセカンドオピニオン症例(3)
- 矯正に役立つ話(9)
- デタラメ矯正(7)
- インプラント(48)
- インプラントのセカンドオピニオン症例(1)
- 審美歯科(15)
- 文献を読むシリーズ(1)
- 院長の戯言(7)
- 定期検診(4)
- 保険診療(3)
- ホワイトニング(4)
- 入れ歯(6)
- その他(3)
- レーザー(1)
- 虫歯治療(1)
- 未指定(39)