当院は医療広告ガイドラインを遵守しています。
新着一覧

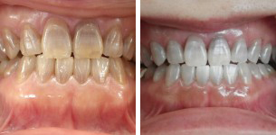
ホワイトニング 白い歯 よつじ歯科医院 能代市 北秋田市 大館市
矯正治療が終了した患者さんがホワイトニングをしました。上がホワイトニング前下の写真がホワイトニング後です。当院ではホワイトニングを強くお勧めします。歯が白くなるメリットが沢山あります。以下に挙げますと...

よつじ歯科医院ニュースレターNo45,2017年8月号巻頭記事です
世の中には成功哲学という分野があります。どうすれば人生で成功するか、仕事で成功するかの教えです。本屋のビジネス書のコーナーに行けばディールカーネギー、ナポレオンヒルの著書並びその関係書は不滅の超ロング...

『デコボコの前歯を矯正』がuploadされました。
https://www.youtube.com/edit?o=U&video_id=LZBGhr-BXG0この症例は他の歯医者さんで、削って被せると言われ、当院を受診しました。当院では患者さん...

『わかる矯正 ワイヤーの種類』がuploadされました。
https://www.youtube.com/watch?v=QKOy4lHSwXk当院で使用している既成のワイヤーの種類に関し説明しています。種類と言っても材質と断面に関してです。アーチフォーム(...

『白い歯安価プロモーション』がuploadされました。
https://www.youtube.com/watch?v=589qqlM4KCo2016年増補改訂した『自由診療安価プロモーション』のリメイクです。「自由診療安価プロモーションver.2017」...

インチキ矯正 こんなになってしまった。
以前インチキ矯正に注意と書きましたが、医院の名前は出せませんので、写真を出します。写真は、ある歯科医院で歯列矯正をして、その後このようになってしまったと相談に来院した方の物です。患者は悩んでいました。...

YOUTUBEに「わかる矯正 下顎前突2」がuploadされました。
5月の連休中にyoutubeに矯正治療の説明動画「わかる矯正 下顎前突2」がuploadされました。連休は本当にありがたいですね。いろいろとやりたいことが進みました。オープニングをリニューアルしました...

よつじ歯科医院ニュースレターNO44 2017年3月号巻頭記事です。
今年1月のいきなりステーキ池袋店での話です。そこは、立ち食いではなく座って食べられるお店でした。横5席の細いテーブル席で椅子に座ると正面に背の低い20cmほどの衝立があり、その向こうにまた席があります...

わかる矯正 上顎前突、秋田、北秋田、大館、能代、審美、ホワイトニング、インプラント
下記のアドレスで上顎前突の治療の流れを動画で解説しています。動画では上顎前突と言ってますが厳密に言うと上下顎前突です。スライドには出ていませんでしたが、この症例では治療期間が2年、治療費はトータルで7...

歯列矯正の治療期間の解説、能代、大館、審美、インプラント、
患者さんに治療期間がどのくらいかよく訊かれます。矯正相談時に説明しているのですが、たくさんのことを話すので忘れているのでしょう。人間は一回で覚えられるのが4つまでですから当然のことと受け止めています。...
最新記事
- 矯正症例151 AngleⅠ級叢生
- 矯正症例150 AngleⅠ級叢生
- 矯正症例149 AngleⅠ級上顎前突
- 矯正症例148 AngleⅠ級上顎前突、裏側矯正、舌側矯正
- 矯正症例147 AngleⅠ級 上顎前突 裏側矯正 舌側矯正
カテゴリー
- 矯正症例(103)
- 矯正ブログ(22)
- 矯正(7)
- 歯列矯正のセカンドオピニオン症例(3)
- 矯正に役立つ話(9)
- デタラメ矯正(7)
- インプラント(49)
- インプラントのセカンドオピニオン症例(1)
- 審美歯科(15)
- 文献を読むシリーズ(1)
- 院長の戯言(7)
- 定期検診(4)
- 保険診療(3)
- ホワイトニング(4)
- 入れ歯(6)
- その他(3)
- レーザー(1)
- 虫歯治療(1)
- 未指定(39)