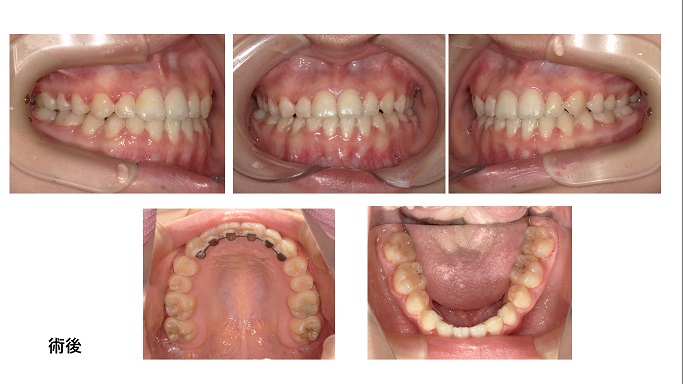
矯正症例74 骨格性下顎前突 カムフラージュ矯正
診断:骨格性下顎前突。性別;女。治療開始年齢、14歳3か月。動的治療終了年齢16歳9か月。来院回数:35回、治療費総額987,8000円(税込み)
抜歯部位:下顎左右4番、マルチブラケット法によるカムフラージュ矯正


骨格性下顎前突のカムフラージュ矯正です。今回はエッジワイズブラケットを使用しました。(骨格性下顎前突の場合KBTマルチブラケットシステムを使う場合が多い)その場合の治療のポイントは骨格的不調和を歯列弓で折り合い付けるために、ワイヤーのサイズダウンです。
このような骨格性下顎前突の患者さんが歯列矯正専門医院を受診した場合、そこでは外科矯正(外科手術併用の歯列矯正)を勧める場合が、多々あります。
しかし外科矯正の危険性を以下に挙げます。
1,神経麻痺を起こす場合がある。
2,顎の下の肉がたるむ危険がある。
3,気道の狭窄を招き呼吸障害を引き起こす危険が考えられる。
4,術後の顔を本人が気に入るか不明である。
4番目に本人が気に入るか不明である。とありますが、私は外科矯正を受けて、不自然に丸い顔になった人を見たことがあります。当院の患者に顎の出ているのが気になると言って、専門医のところに行って顎を切った方がいました。数年後
偶然お会いしたのですが、本人が気に入っているなら良いのですが、私が見たところ不自然な顔でした。顎は引っ込みましたが、顎の横幅、つまり正面から見ると顎角部の幅が不自然に大きい。不自然に丸い顔でした。以前の顔の方が良かったと思います。
歯列矯正には以下のリスクを伴う場合があります。
歯列矯正をすることで虫歯、歯周病のリスクが高まります。歯根吸収、歯肉の裂開、歯肉の退縮、ブラックトライアングルの出現の可能性があります。
治療期間が予定より長引くことがあります。動的治療終了時の歯列は永久に保持されるものではなく、経年的に多少なりの変化があります。
装置を除去する際に、補綴物の破損、エナメル質に微小なヒビが入る場合があります。
最新記事
- 矯正症例143 AngleⅡ級2類
- 矯正症例142 AngleⅠ級、上顎前突
- 矯正症例141 AngleⅠ級 上下顎前突、ガミースマイル、口ごぼ
- 矯正症例 140 AngleⅠ級上下顎前突、舌側矯正,口ゴボ,裏側矯正
- 矯正症例139 AngleⅠ級叢生、下顎8番埋伏歯の牽引
カテゴリー
- 矯正症例(95)
- 矯正ブログ(22)
- 矯正(7)
- 歯列矯正のセカンドオピニオン症例(3)
- 矯正に役立つ話(9)
- デタラメ矯正(7)
- インプラント(48)
- インプラントのセカンドオピニオン症例(1)
- 審美歯科(15)
- 文献を読むシリーズ(1)
- 院長の戯言(7)
- 定期検診(4)
- 保険診療(3)
- ホワイトニング(4)
- 入れ歯(6)
- その他(3)
- レーザー(1)
- 虫歯治療(1)
- 未指定(39)