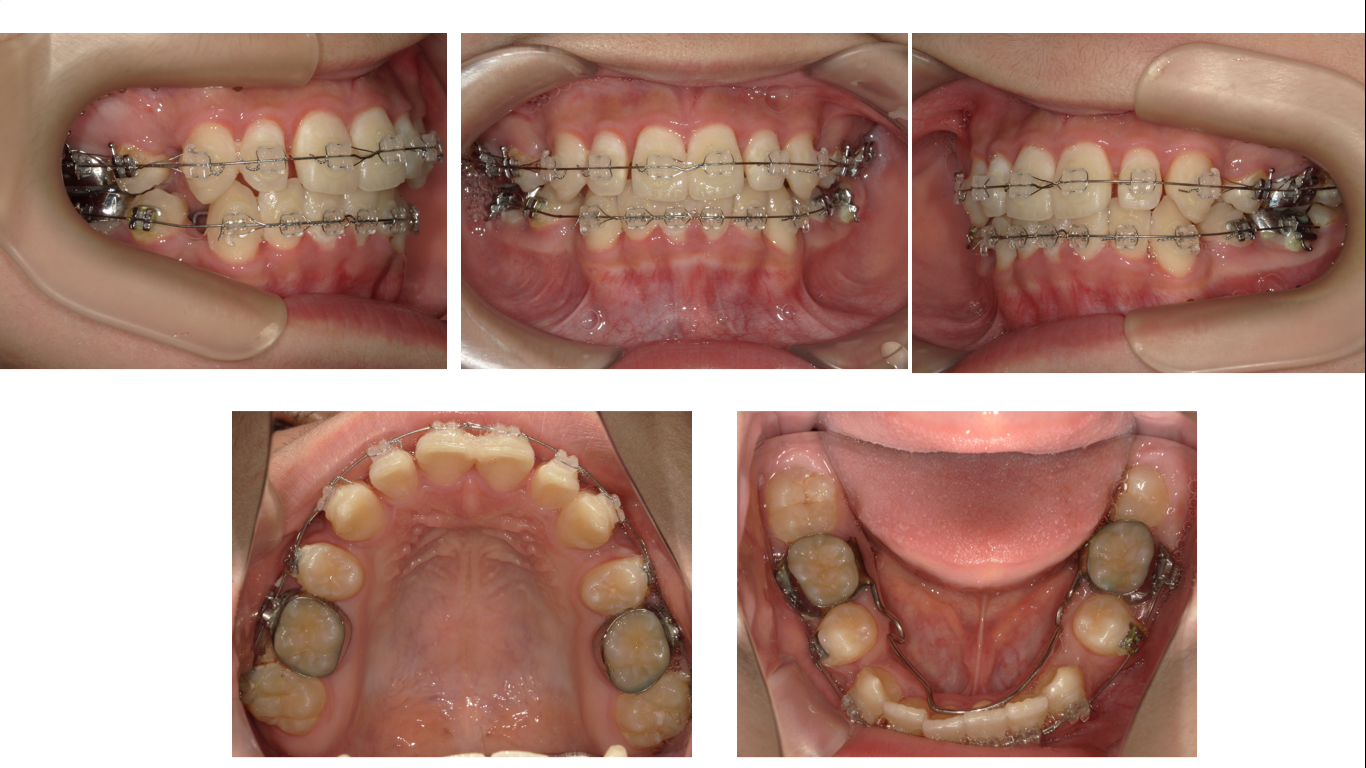
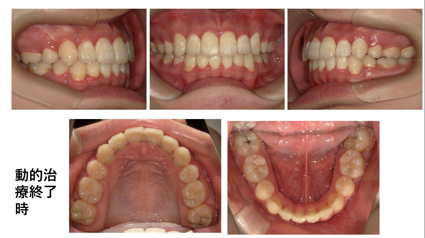
矯正症例136 AngleⅠ級叢生
初診時13歳抜歯部位上顎左右4番、下顎左右4番、治療期間2年8か月、治療費総額112万円(税込み)



歯列矯正には以下のリスクを伴う場合があります。
1最初は矯正装置による不快感、痛み等があります。数日間~1、2 週間で慣れることが多いです。
- 2歯の動き方には個人差があります。そのため、予想された治療期間が延長する可能性があります。
- 3装置の使用状況、顎間ゴムの使用状況、定期的な通院等、矯正治療には患者さんの協力が非常に重要であり、それらが治療結果や治療期間に影響します。
- 4治療中は、装置が付いているため歯が磨きにくくなります。むし歯や歯周病のリスクが高まりますので、丁寧に磨いたり、定期的なメンテナンスを受けたりすることが重要です。また、歯が動くと隠れていたむし歯が見えるようになることもあります。
- 5歯を動かすことにより歯根が吸収して短くなることがあります。また、歯ぐきがやせて下がることがあります。ブラックトライアングルの出現があり得ます。
- 6ごくまれに歯が骨と癒着していて歯が動かないことがあります。
- 7ごくまれに歯を動かすことで神経が障害を受けて壊死することがあります。
- 8治療途中に金属等のアレルギー症状が出ることがあります。
- 9治療中に「顎関節で音が鳴る、あごが痛い、口が開けにくい」などの顎関節症状が出ることがあります。
- 10様々な問題により、当初予定した治療計画を変更する可能性があります。
- 11歯の形を修正したり、咬み合わせの微調整を行ったりする可能性があります。
- 12矯正装置を誤飲する可能性があります。
- 13装置を外す時に、エナメル質に微小な亀裂が入る可能性や、かぶせ物(補綴物)の一部が破損する可能性があります。
- 14装置が外れた後、保定装置を指示通り使用しないと後戻りが生じる可能性が高くなります。
- 15装置が外れた後、現在の咬み合わせに合った状態のかぶせ物(補綴物)やむし歯の治療(修復物)などをやりなおす可能性があります。
- 16あごの成長発育によりかみ合わせや歯並びが変化する可能性があります。
- 17治療後に親知らずが生えて、凸凹が生じる可能性があります。加齢や歯周病等により歯を支えている骨がやせるとかみ合わせや歯並びが変化することがあります。その場合、再治療等が必要になることがあります。
- 18矯正歯科治療は、一度始めると元の状態に戻すことは難しくなります。
最新記事
- 矯正症例143 AngleⅡ級2類
- 矯正症例142 AngleⅠ級、上顎前突
- 矯正症例141 AngleⅠ級 上下顎前突、ガミースマイル、口ごぼ
- 矯正症例 140 AngleⅠ級上下顎前突、舌側矯正,口ゴボ,裏側矯正
- 矯正症例139 AngleⅠ級叢生、下顎8番埋伏歯の牽引
カテゴリー
- 矯正症例(95)
- 矯正ブログ(22)
- 矯正(7)
- 歯列矯正のセカンドオピニオン症例(3)
- 矯正に役立つ話(9)
- デタラメ矯正(7)
- インプラント(48)
- インプラントのセカンドオピニオン症例(1)
- 審美歯科(15)
- 文献を読むシリーズ(1)
- 院長の戯言(7)
- 定期検診(4)
- 保険診療(3)
- ホワイトニング(4)
- 入れ歯(6)
- その他(3)
- レーザー(1)
- 虫歯治療(1)
- 未指定(39)