非抜歯拡大矯正(床矯正)の犠牲者が来院
中学3年の女の子が母親と同伴で矯正の相談に当院へ来院しました。
母親の説明により、以下の経緯が判りました。
小学1年から中学1年まで床矯正した。中1でこれ以上できないからと他院へ紹介された。紹介先の歯科医院の日矯認定医に『酷いね。』と言われた。 初見で私も酷い矯正だと思いました。ですが、
初診で酷い矯正だと言えば他院を批判する批判的な人間だと思われると嫌なので発言を控えていました。しかし、他院の日矯認定医が酷いと言っていたと聞いたので、心強さをえて私も同意しました。
通常12歳前後に始め目治療期間は2年前後で終わります。この症例の様に小学1年から6年越える期間、拡大しても結局抜歯しての矯正となった場合、抜歯前の矯正は全くの無駄です。意味がありません。6年続けたことで患者と保護者の精神的苦痛、時間の浪費、金銭の無駄は本当にお気の毒です。
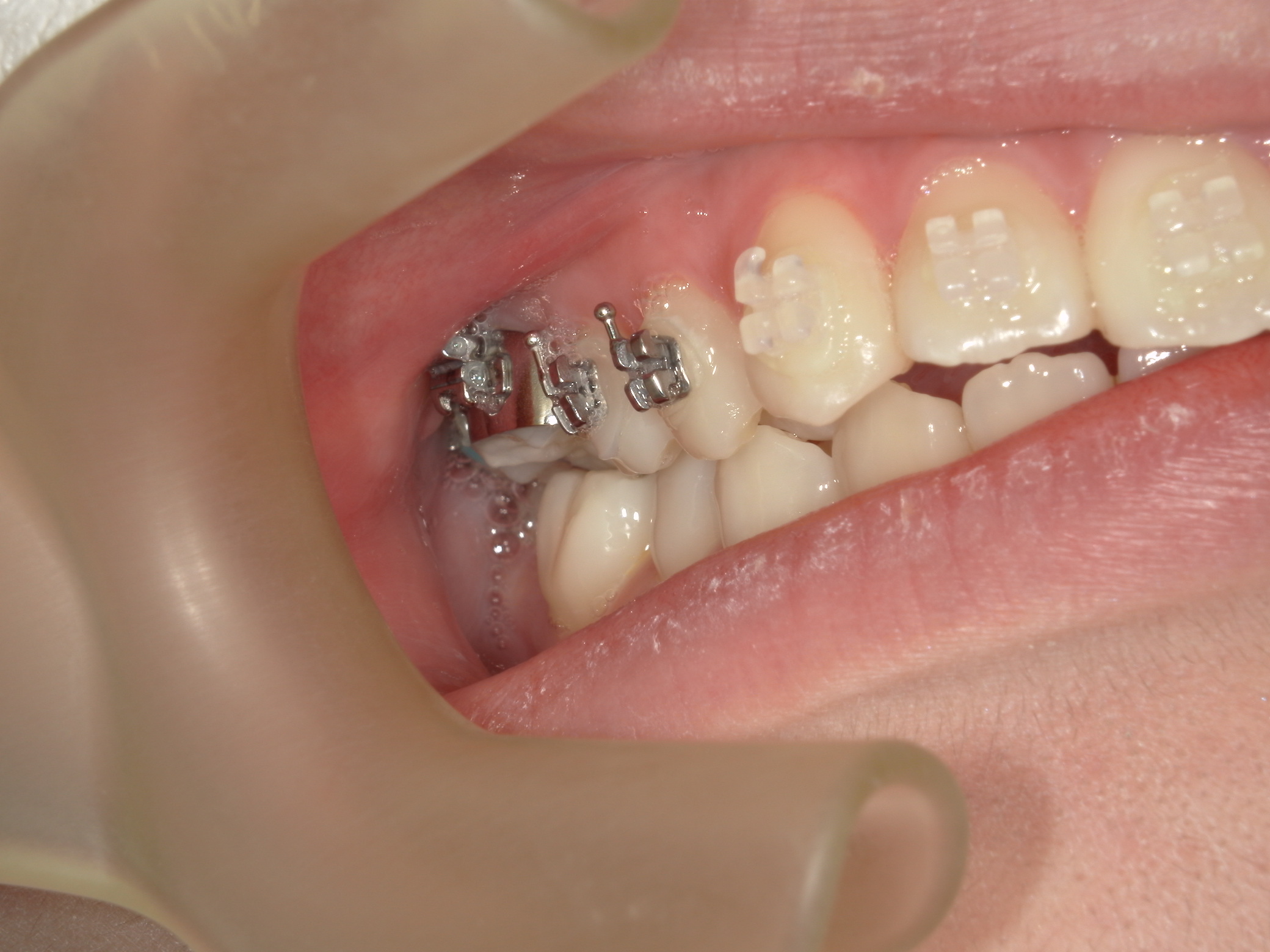
この症例の気になるの点として、無理な拡大で下顎左右6番の歯根が頬側の皮質骨からはみ出ている危険があることです。そうならば、下顎6番の近心移動はものすごく遅くなります。等と考えていたので、当然のごとく抜歯部位の選定に悩みました。悩んだ末、この症例は上下左右の6番抜歯症例です。

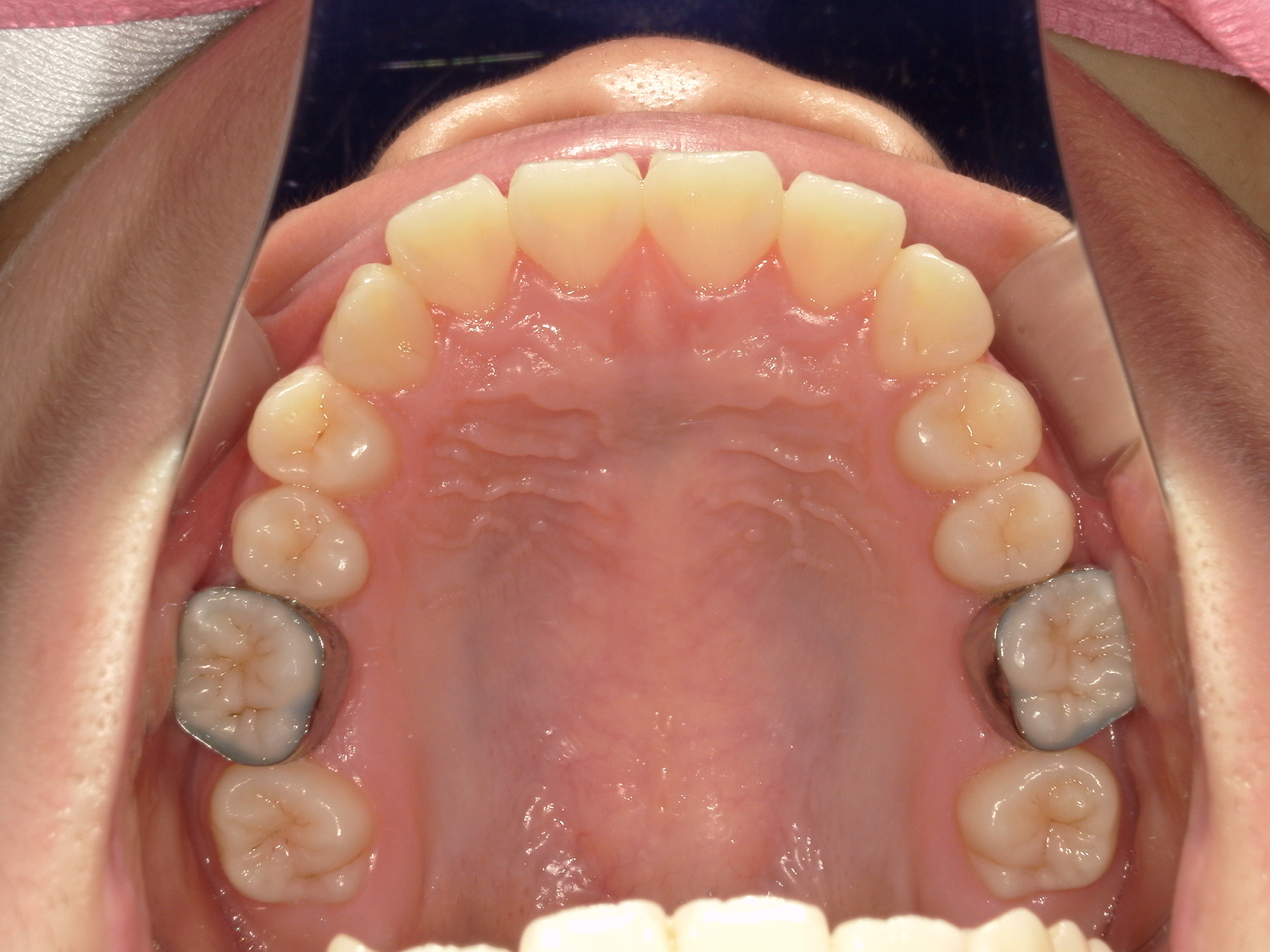
上顎の咬合面は写真の撮り忘れで、模型の咬合面観で代用しています。

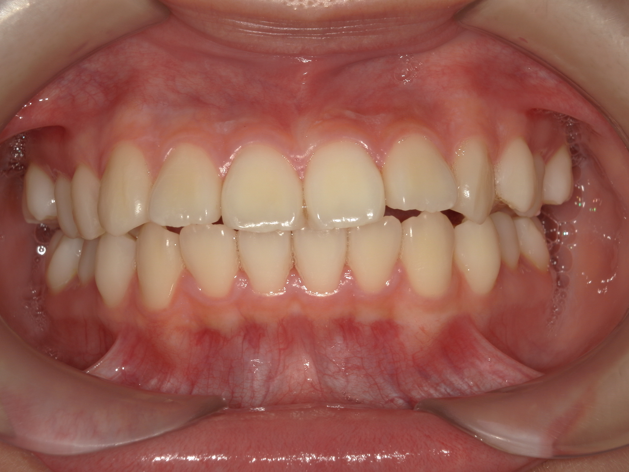
口元がすごく出ています。

斜め横から見ると立体的に出ているのが判ります。

笑うと歯がすごく出ています。
歯列矯正をお考えの方はくれぐれもご注意ください。非抜歯拡大矯正、床矯正、マウスピース矯正には要注意です。
最新記事
- 矯正症例143 AngleⅡ級2類
- 矯正症例142 AngleⅠ級、上顎前突
- 矯正症例141 AngleⅠ級 上下顎前突、ガミースマイル、口ごぼ
- 矯正症例 140 AngleⅠ級上下顎前突、舌側矯正,口ゴボ,裏側矯正
- 矯正症例139 AngleⅠ級叢生、下顎8番埋伏歯の牽引
カテゴリー
- 矯正症例(95)
- 矯正ブログ(22)
- 矯正(7)
- 歯列矯正のセカンドオピニオン症例(3)
- 矯正に役立つ話(9)
- デタラメ矯正(7)
- インプラント(48)
- インプラントのセカンドオピニオン症例(1)
- 審美歯科(15)
- 文献を読むシリーズ(1)
- 院長の戯言(7)
- 定期検診(4)
- 保険診療(3)
- ホワイトニング(4)
- 入れ歯(6)
- その他(3)
- レーザー(1)
- 虫歯治療(1)
- 未指定(39)