矯正症例107 AngleⅠ級叢生、下顎3本切歯症例、北秋田市、大館市、能代市、秋田市
初診時20歳3か月、治療期間3年3か月、抜歯部位:上顎左右4番、下顎左側2番、(下顎右側2番先天性欠如)治療費総額96万円(税込み)

上の写真は左が術前、右が術後の写真です。治療後は術前と比較し口元が引っ込んでいます。

上の写真は斜め45度から撮影した術前術後の比較です。右が術前左が術後です。

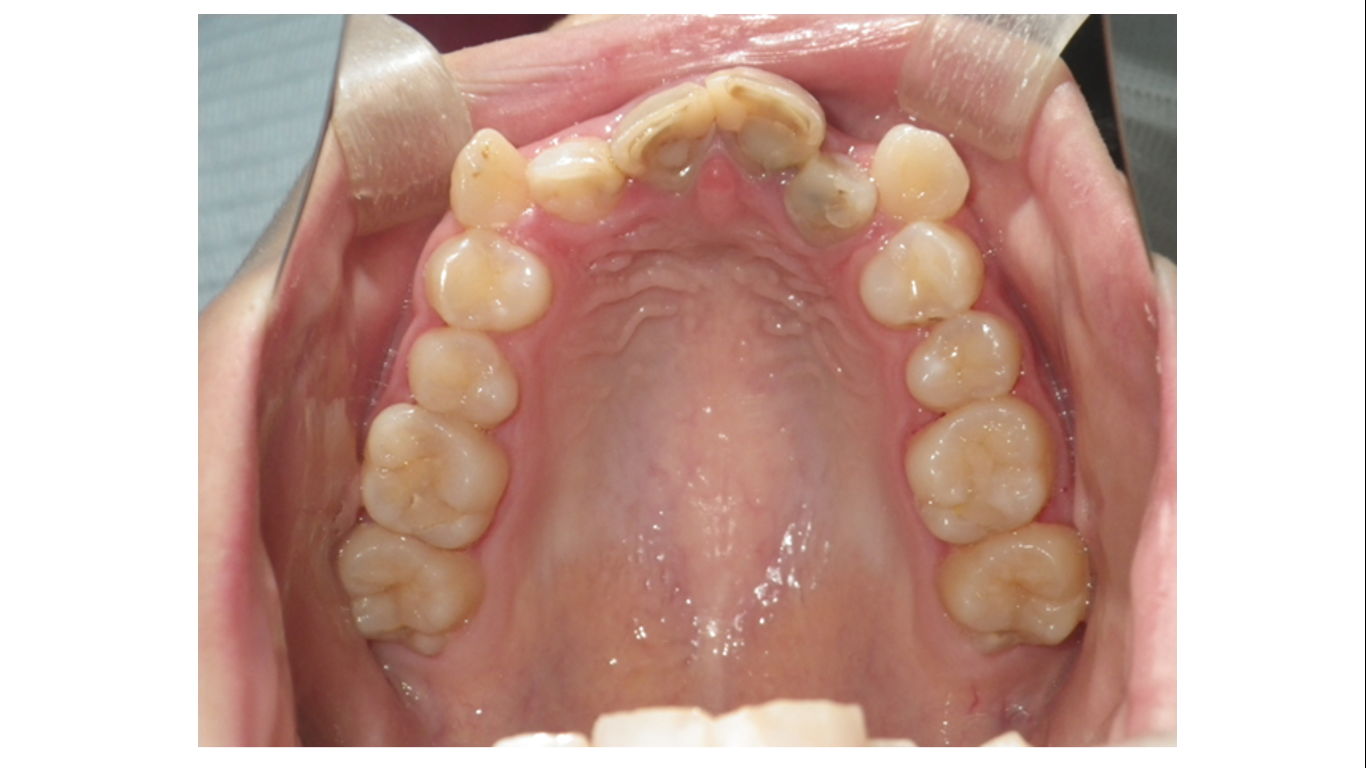
上の写真は術前の口腔内写真です。上顎切歯のレジン充填がお粗末すぎるのでやり直しが必要です。下顎右側側切歯が先天性欠如であると判ります。

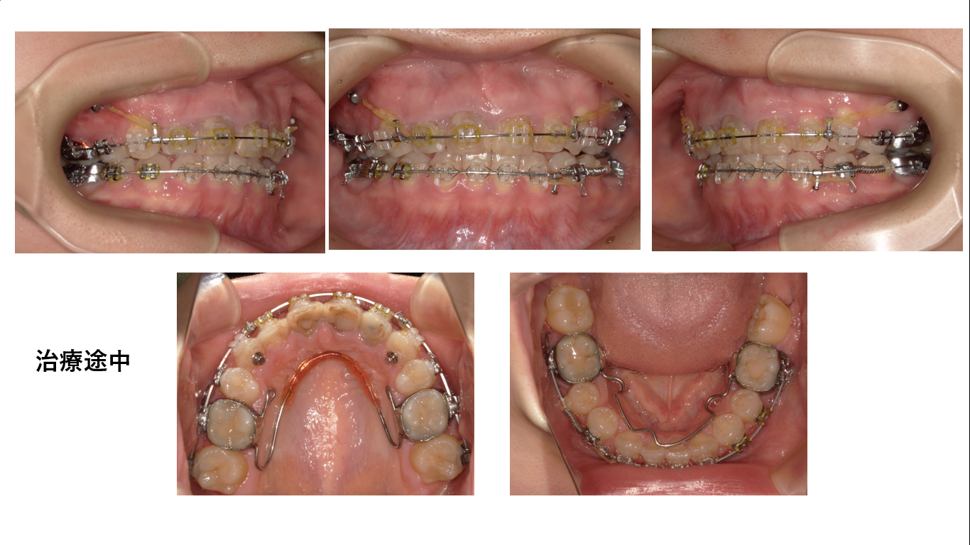
上の写真は治療開始から1年が過ぎたところです。

上の写真は動的治療終了時の写真です。
この症例に於いては、開始前に抜歯部位の選定に悩みました。
通常の矯正ならば上顎左右4番抜歯となります。が、上顎左右1番と上顎右側2番が根管処置がされており、上顎左右2番も抜歯部位の候補に挙がりました。
上顎の抜歯に当たり2つの場合を想定し患者に説明したところ、根管処置してある切歯が将来抜歯となった際にはインプラント治療を選択するとしたうえで見た目の自然さを優先して上顎左右4番の抜歯としました。
下顎は右側2番の先天性欠如でしたので下顎左側2番を抜歯とし、toothsizeratioをIPRで調整することにしました。
治療期間が開始年齢が20歳の割には長くなったのは上顎左右犬歯間の幅径が想定以上に大きくなり、縮小に時間が必要となったからです。上顎左右犬歯間の幅径が広がった原因は抜歯空隙閉鎖したの後、僅かの歯列の遠心移動を試み頬側のASから牽引し続けたからです。上顎の左右5番、6番の頬側間に植立した歯列矯正用アンカースクリ(以下AS)から犬歯を遠心へ牽引することで頬側移動の力のベクトルが作用したからです。
頬側に転移している上顎左右3番を適せな位置へ戻すために口蓋側左右6,7間に植立したASから牽引し、左右6番の遠心移動と左右3番の遠心口蓋側移動を行いました。

初診時の上顎咬合面です。上顎左右1番、上顎右側2番のレジン充填が不良です。上顎の叢生が除去されて後にレジン充填をやり直しました。

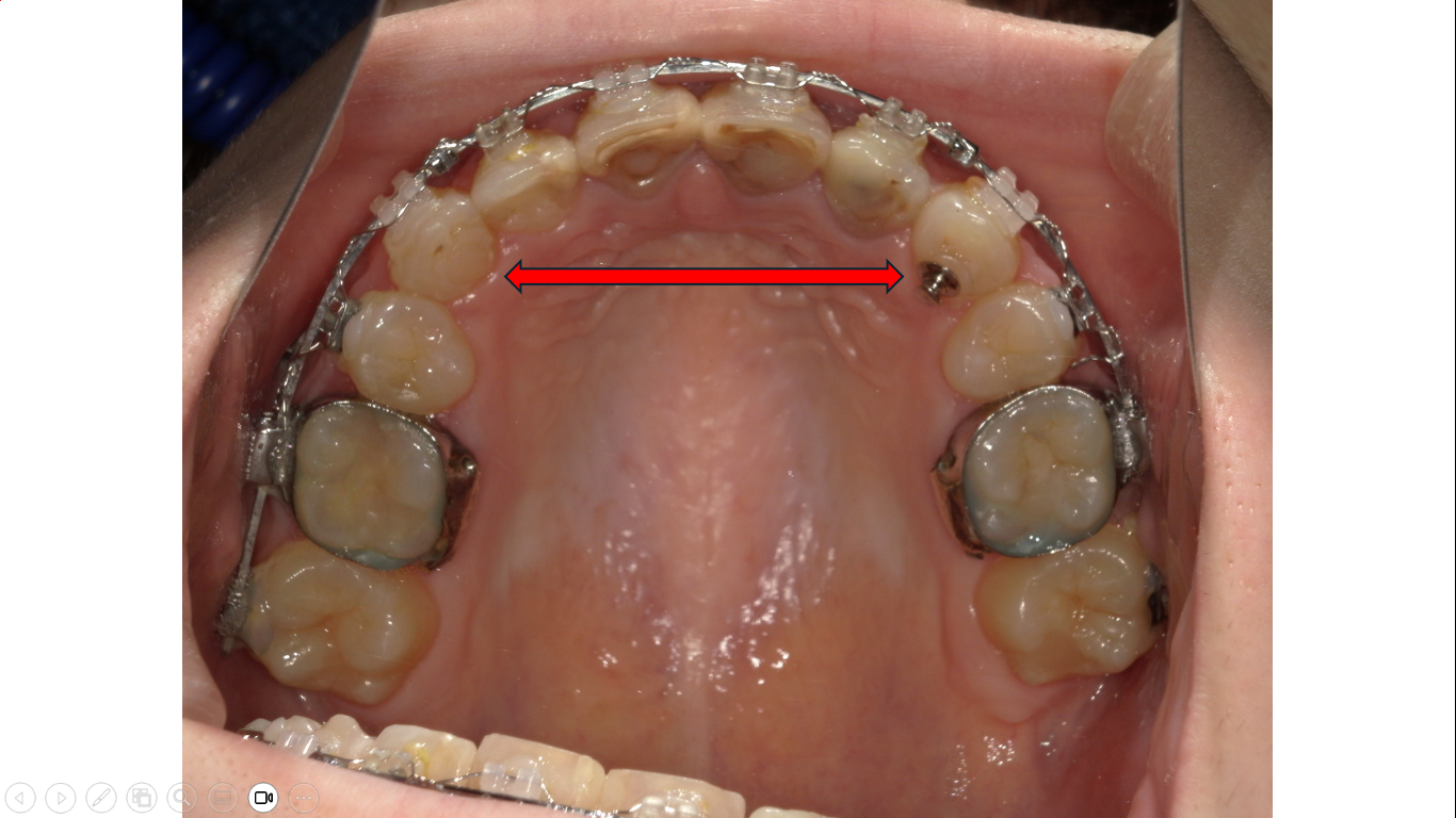
上の写真は左右犬歯間の幅径が大きくなったことが分かります。

上の写真は口蓋側にPLASを設置し歯列全体の遠心移動を行っているところです。PLASの使用説明ガイドに記載している使用法なのですが、この使用法はBiteが深くなる危険があるので、直ぐに変更しました。

上の写真は口蓋側からの歯列全体の遠心移動を行っているところです。この様な装置に替えることで犬歯間の幅径を縮小できました。

動的治療終了時の咬合面観です。広がっていた上顎左右犬歯間の幅径が狭く適正な幅になりました。
まとめ
この症例に於いて、上顎の抜歯空隙閉鎖に於いて頬側のASからの牽引では不必要に犬歯をに頬側に転移させる危険のあることが分かりました。このような事態にならぬ様、口蓋側からの牽引を検討することは,治療の効率化,治療期間の短縮を図れると大いに期待が持てると判りました。
歯列矯正には以下のリスクを伴う場合があります。
1最初は矯正装置による不快感、痛み等があります。数日間~1、2 週間で慣れることが多いです。
- 2歯の動き方には個人差があります。そのため、予想された治療期間が延長する可能性があります。
- 3装置の使用状況、顎間ゴムの使用状況、定期的な通院等、矯正治療には患者さんの協力が非常に重要であり、それらが治療結果や治療期間に影響します。
- 4治療中は、装置が付いているため歯が磨きにくくなります。むし歯や歯周病のリスクが高まりますので、丁寧に磨いたり、定期的なメンテナンスを受けたりすることが重要です。また、歯が動くと隠れていたむし歯が見えるようになることもあります。
- 5歯を動かすことにより歯根が吸収して短くなることがあります。また、歯ぐきがやせて下がることがあります。ブラックトライアングルの出現があり得ます。
- 6ごくまれに歯が骨と癒着していて歯が動かないことがあります。
- 7ごくまれに歯を動かすことで神経が障害を受けて壊死することがあります。
- 8治療途中に金属等のアレルギー症状が出ることがあります。
- 9治療中に「顎関節で音が鳴る、あごが痛い、口が開けにくい」などの顎関節症状が出ることがあります。
- 10様々な問題により、当初予定した治療計画を変更する可能性があります。
- 11歯の形を修正したり、咬み合わせの微調整を行ったりする可能性があります。
- 12矯正装置を誤飲する可能性があります。
- 13装置を外す時に、エナメル質に微小な亀裂が入る可能性や、かぶせ物(補綴物)の一部が破損する可能性があります。
- 14装置が外れた後、保定装置を指示通り使用しないと後戻りが生じる可能性が高くなります。
- 15装置が外れた後、現在の咬み合わせに合った状態のかぶせ物(補綴物)やむし歯の治療(修復物)などをやりなおす可能性があります。
- 16あごの成長発育によりかみ合わせや歯並びが変化する可能性があります。
- 17治療後に親知らずが生えて、凸凹が生じる可能性があります。加齢や歯周病等により歯を支えている骨がやせるとかみ合わせや歯並びが変化することがあります。その場合、再治療等が必要になることがあります。
- 18矯正歯科治療は、一度始めると元の状態に戻すことは難しくなります。
最新記事
- 矯正症例141 AngleⅠ級 上下顎前突、ガミースマイル、口ごぼ
- 矯正症例 140 AngleⅠ級上下顎前突、舌側矯正,口ゴボ,裏側矯正
- 矯正症例139 AngleⅠ級叢生、下顎8番埋伏歯の牽引
- マウスピース矯正からワイヤー矯正へ、ってか?
- 歯ぎしりのある患者にインプラントをして14年経過
カテゴリー
- 矯正症例(93)
- 矯正ブログ(22)
- 矯正(7)
- 歯列矯正のセカンドオピニオン症例(3)
- 矯正に役立つ話(9)
- デタラメ矯正(7)
- インプラント(48)
- インプラントのセカンドオピニオン症例(1)
- 審美歯科(15)
- 文献を読むシリーズ(1)
- 院長の戯言(8)
- 定期検診(4)
- 保険診療(3)
- ホワイトニング(4)
- 入れ歯(6)
- その他(3)
- レーザー(1)
- 虫歯治療(1)
- 未指定(39)