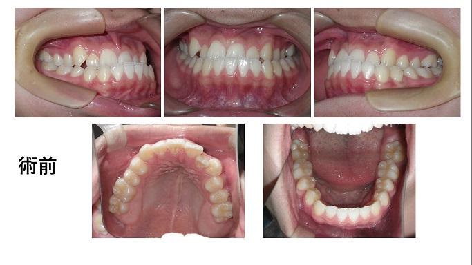
矯正症例73骨格性下顎前突
治療開始年齢13歳6か月、治療期間5年8か月
抜歯部位:下顎右側4番、左側5番。上顎左右側5番
チンキャップ併用によるマルチブラケット法による歯列矯正
治療費総額89万円(税別)



この患者さんは、ある矯正専門医を受診し、そこで外科手術併用の歯列矯正と断言されました。しかし、手術は望まないので、手術なしでも歯列矯正ができる歯科医院を探し、当院にたどり着きました。
当院での治療方針は以下の様になりました。
通常の歯列矯正では外科手術が必要ではあるが外科手術をせずとも通常の歯列矯正のみで何とか治療可能である。
本来は外科手術が必要な症例でありますが、外科手術なしで歯列矯正ができるギリギリの症例で、治療結果は患者の右側の咬合に多少の難がありますが、横顔が大きく改善されており、患者さんも喜んでおられました。
この症例の治療成功のポイントを以下に挙げます。
1,治療開始年齢が13歳6か月と、思春期の成長のスパート前であった。
2,言いつけ通り、チンキャップの使用を怠らなかった。
3,顎間ゴム水平ゴムの使用を怠らなかった。
前医で外科手術併用でしか治せないと断言されて、患者さんは驚いたと思います。通常の矯正治療で治ると思っていたからです。そこであきらめず、外科手術を併用しないで歯列矯正をできる歯科医院を探したのが正解でした。
当院へ来院した患者さんの中には他院で、外科手術併用でないと治せないと言われて、その言葉を信じて20年間そのまま、治さず放置していた方もいます。(実は手術なしでも簡単に治る症例でした)
外科手術が必要と言われた方で、外科手術を回避したい方は是非当院を受診してみてください。手術なしでも通常の歯列矯正のみで治療可能な場合が結構あります。
歯列矯正には以下のリスクを伴う場合があります。
歯列矯正をすることで虫歯、歯周病のリスクが高まります。歯根吸収、歯肉の裂開、歯肉の退縮、ブラックトライアングルの出現の可能性があります。
治療期間が予定より長引くことがあります。動的治療終了時の歯列は永久に保持されるものではなく、経年的に多少なりの変化があります。
装置を除去する際に、補綴物の破損、エナメル質に微小なヒビが入る場合があります。
最新記事
- 矯正症例 140 AngleⅠ級上下顎前突、舌側矯正,口ゴボ,裏側矯正
- 矯正症例139 AngleⅠ級叢生、下顎8番埋伏歯の牽引
- マウスピース矯正からワイヤー矯正へ、ってか?
- 歯ぎしりのある患者にインプラントをして14年経過
- 矯正症例138 AngleⅡ級1類 上下顎前突、口ゴボ
カテゴリー
- 矯正症例(92)
- 矯正ブログ(22)
- 矯正(7)
- 歯列矯正のセカンドオピニオン症例(3)
- 矯正に役立つ話(9)
- デタラメ矯正(7)
- インプラント(48)
- インプラントのセカンドオピニオン症例(1)
- 審美歯科(15)
- 文献を読むシリーズ(1)
- 院長の戯言(8)
- 定期検診(4)
- 保険診療(3)
- ホワイトニング(4)
- 入れ歯(6)
- その他(3)
- レーザー(1)
- 虫歯治療(1)
- 未指定(39)