インチキデタラメ矯正3、非抜歯拡大矯正
またしても来ました。インチキ矯正の犠牲者、非抜歯拡大矯正の犠牲者です。このブログに紹介していませんが今回の他にも非抜歯拡大の犠牲者が当院を訪れています。
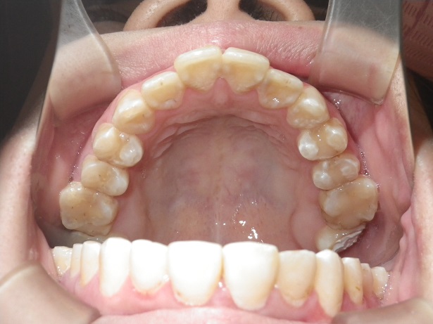
今回は写真を撮らせてもらいました。勿論ブログでの公開の了承を得ています。
歯列矯正を開始するに当たり、歯科医院選びを間違うと以下の写真ようになる危険があります。





私は、これ以上犠牲者を増やしたくありません。ですから、ここで皆さんに注意を喚起したいと思います。秋田県北部で歯列矯正をお考えの方は、歯科医院選びに十分注意してください。
犠牲者になる方の傾向は、調べないで、その歯科医院で矯正(インチキ)を始めている人が多いようです。沢山の人がそこで歯列矯正しているから安心、みんなが行っているから安心、と考えるのでしょうか?その考えは危険ですよ。
何分そこは小学低学年から開始して終了がありませんから、患者が増えて400人~500人は抱えているとそこの元従業員がいっていました。
それだけ多ければ、ラーメン屋に行列ができるのと同じ原理でどんどん増えます。
写真の症例ですが、小学3年から中学3年までやったそうです。(長いですね~)
痛くて途中で辞めたかったそうです。(無理やり拡大したからです)
高校受験があるので中断したそうです。(そこの先生はまだまだ続ける気だった、そうです。)
開始時期が早すぎます。小学6年で開始して2年で終了が通常のコースです。
問題の歯科医院では小学低学年から開始して、高校卒業になってもまだ終わらないことが多々あるそうです。
あまりにも長いので今回の症例の様に途中で音を上げて中断するか自然消滅してどこか別の歯科医院へ行くのをそこの先生は期待しているのでしょうか?というかそれを狙っているとしか思えません。現実として、この患者さんは音を上げました。
秋田県北部(大館市、北秋田市、能代市、潟上市)で歯列矯正をお考えの方は、くれぐれも歯科医院選びに慎重になって下さい。複数の実績のある歯科医院に相談をしその上で決めてくださいね。
最新記事
- 矯正症例 140 AngleⅠ級上下顎前突、舌側矯正,口ゴボ,裏側矯正
- 矯正症例139 AngleⅠ級叢生、下顎8番埋伏歯の牽引
- マウスピース矯正からワイヤー矯正へ、ってか?
- 歯ぎしりのある患者にインプラントをして14年経過
- 矯正症例138 AngleⅡ級1類 上下顎前突、口ゴボ
カテゴリー
- 矯正症例(92)
- 矯正ブログ(22)
- 矯正(7)
- 歯列矯正のセカンドオピニオン症例(3)
- 矯正に役立つ話(9)
- デタラメ矯正(7)
- インプラント(48)
- インプラントのセカンドオピニオン症例(1)
- 審美歯科(15)
- 文献を読むシリーズ(1)
- 院長の戯言(8)
- 定期検診(4)
- 保険診療(3)
- ホワイトニング(4)
- 入れ歯(6)
- その他(3)
- レーザー(1)
- 虫歯治療(1)
- 未指定(39)