上顎前歯のジルコニア症例 能代市 北秋田市 大館市 秋田市 審美歯科
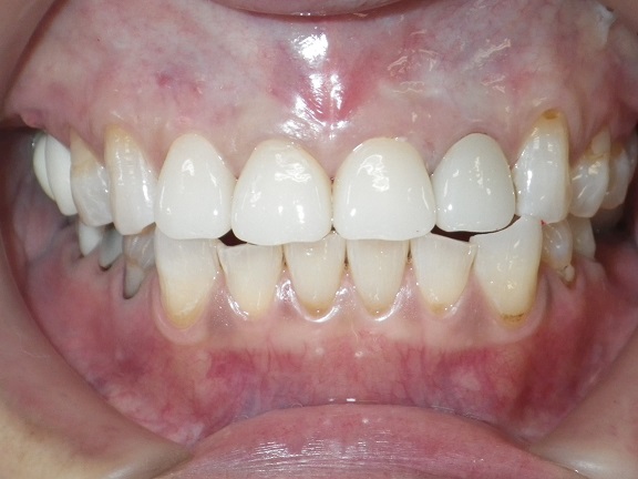
上顎前歯のジルコニアの症例です。正確に言うとジルコニアのウルトラトランスの症例です.上顎前歯がすり減って被せたいというのでウルトラトランスにしました。下の写真は術前、術後の写真です。


実物を見るとその美しさに感動します。本当にキレイですよ。
上顎左右の1番2番を補綴しましたが、上顎右側2番と左右1番は生活歯のまま、つまり神経を残して被せました。美しさは生活歯又はファイバーポスト、レジン築造の場合に可能です。左上2番はレジン前装冠を外して作り直しました。左上2番は金属の土台が入っていました。ジルコニアの向こうに少しグレーが透けて見えます。これが気になるなら、作り直しになります。その際メタルコアをファイバーポストに替えてグレーの色味をなくせます。が、この患者さんの場合は、止めておいた方が良いです。メタルコアが大きいので外したら歯の寿命を縮めかねません。
前歯4本のフルジルコニアクラウンウルトラトランスでの補綴修復の費用は、総額152,000円(税別)でした。
最新記事
- 矯正症例143 AngleⅡ級2類
- 矯正症例142 AngleⅠ級、上顎前突
- 矯正症例141 AngleⅠ級 上下顎前突、ガミースマイル、口ごぼ
- 矯正症例 140 AngleⅠ級上下顎前突、舌側矯正,口ゴボ,裏側矯正
- 矯正症例139 AngleⅠ級叢生、下顎8番埋伏歯の牽引
カテゴリー
- 矯正症例(95)
- 矯正ブログ(22)
- 矯正(7)
- 歯列矯正のセカンドオピニオン症例(3)
- 矯正に役立つ話(9)
- デタラメ矯正(7)
- インプラント(48)
- インプラントのセカンドオピニオン症例(1)
- 審美歯科(15)
- 文献を読むシリーズ(1)
- 院長の戯言(7)
- 定期検診(4)
- 保険診療(3)
- ホワイトニング(4)
- 入れ歯(6)
- その他(3)
- レーザー(1)
- 虫歯治療(1)
- 未指定(39)